Familial Cerebral Cavernous Malformation
Clinical Presentation
ES, a Chinese man age 42, presented with new onset stabbing bifrontal headache and left upper limb weakness that had persisted for a day. He answered all questions about symptoms of increased intracranial pressure (eg, visual symptoms, balance problems, or vomiting) negatively, reported no seizures, and had no systemic complaints, including fever or weight loss. There were no other neurologic exam findings, including cranial nerve palsies.
Medical and Family History
A day earlier, ES had colonoscopy to evaluate chronic diarrhea that showed multiple superficial hemorrhagic ulcers in his rectum and large bowel. ES consumed well-cooked pork regularly. The evaluating gastroenterologist started treatment with metronidazole for possible amoebic colitis empirically, which has a similar clinical presentation and endoscopic findings as inflammatory bowel disease. ES’ other medical history was significant only for hypertension. His family history was significant only for his mother, who had died after an intracranial hemorrhage 15 years earlier.
Initial Diagnostic Studies
ES’ blood analysis was unremarkable, including inflammatory markers and eosinophil counts within normal limits and no evidence of infectious disease. Lumbar puncture and cerebrospinal fluid (CSF) analysis were unremarkable. Serology for cysticercosis (presence of the tapeworm Taenia solium), amoebiasis, and tuberculosis were negative.
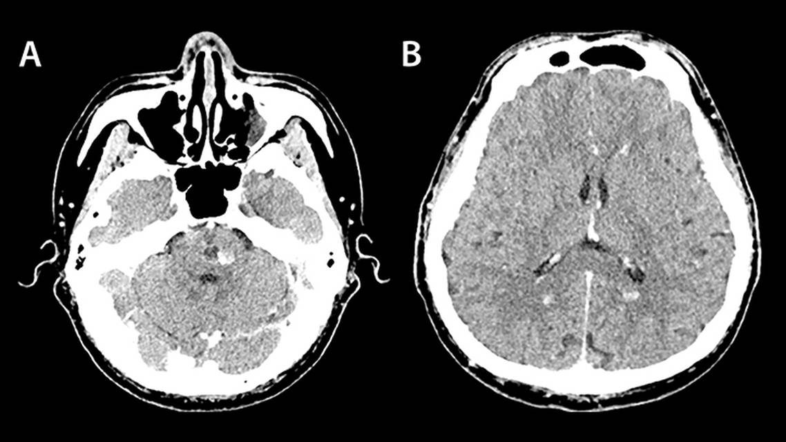
Head CT (Figure 1) showed multiple nonenhancing, ill-defined hyperdense lesions in the cerebral hemispheres, cerebellum, and pons with prominent focal calcification at the pons.

Management and Follow-up
Based on his head CT scan that showed multiple intracranial hyperdense lesions resembling calcified neurocysticercosis, ES was treated for presumed neurocysticercosis with albendazole. Central nervous system (CNS) tuberculoma was also considered but thought unlikely because CSF studies including polymerase chain reaction (PCR), culture, and sensitivity for mycobacterium tuberculosis (MTB) were all negative. He was later diagnosed with ulcerative colitis after antiamoebic treatment did not resolve his gastrointestinal symptoms. ES reported subjective improvement and requested repeated courses of albendazole over a period of years.
Subsequent Diagnostic Testing
Brain MRI was not available during ES’s inpatient stay, but was done serially during his treatment with albendazole. Gradient-echo (GRE) MRI showed extensive multiple small lesions with blooming artifacts in both cerebral hemispheres, the cerebellum, and brainstem (Figure 2), which did not change over time. In consideration of the lack of radiologic improvement on these and the initial negative finding for T. solium, there was a clinical suspicion for familial cerebral cavernous malformation (FCCM). ES was referred for genetic testing and found to have a pathogenic mutation (c.334_337del (p.Gln112Phefs*13) in programmed cell death 10 (PDCD10), confirming this diagnosis. His sister was offered genetic counseling and testing, and she had the same pathogenic mutation. ES was referred to ophthalmology and dermatology for further evaluation of FCCM manifestations outside the CNS. No retinal manifestations were found, but a few small hyperkeratotic, well-demarcated dark plaque-like lesions were seen over the lateral aspect of the left leg which bled easily if scratched (Figure 3). These lesions were biopsied, and findings were consistent with angiokeratoma which are commonly reported in CCM1.


Follow-up management was conservative with regular evaluations, because ES did not have major intracranial hemorrhage, focal neurologic deficits, or seizures.
Discussion
Cerebral cavernous malformations (CCMs) are common vascular malformations, consisting of abnormally clustered, dilated, and leaky capillary caverns.1 Clinical presentations of CCM are heterogenous and include intracerebral hemorrhage, seizures, chronic headaches, and focal neurologic deficits.2 In contrast, FCCM is uncommon and has an autosomal dominant inheritance pattern, with 3 causative genes identified: Krev interaction trapped 1 (KRIT1), malcavernin (MGC4607), and PDCD10, which are also known, respectively, as CCM1, CCM2, and CCM3.2,3
On head CT, FCCM may manifest as multiple calcified intracranial lesions easily mistaken for neurocysticercosis, a parasitic infection caused by T. solium, endemic in Asia and other regions.4 Lesions of CCM may be solitary or multiple, but the presence of multiple lesions increases the likelihood of FCCM.5,6 People with FCCM may also have vascular lesions outside the CNS including retinal vascular malformations (eg, retinal cavernoma or, rarely, choroidal hemangioma) and cutaneous lesions (eg, café-au-lait lesion, capillary malformations, angiokeratoma, hyperkeratotic cutaneous capillary venous malformation, or venous malformations).7-9

A detailed family history, brain MRI, and genetic testing are therefore crucial for diagnosis.4 FCCM is defined as the presence of 5 or more CCMs, discovery of CCM in at least 2 family members, or the findings of any of the 3 established pathogenic genetic variations.10
Neuroimaging
Although CT is more readily available than MRI in many parts of the world, fewer lesions are visible on CT, leading to underestimation of lesion load. It is also difficult to distinguish calcified cavernomas from calcified-nodular stage of neurocysticercosis using CT alone.4,11 The best practice standard for neuroimaging evaluation of CCM is brain MRI with GRE or susceptibility-weighted imaging (SWI) sequences.5< In the case presented, the relatively large classic popcorn appearance of lesions with mixed signal intensity centrally at pons on MRI favored the diagnosis of CCM over neurocysticercosis, which typically presents with more uniform and smaller lesions.10,11
Genetic Variants
Western blot studies indicate that KRIT1/CCM1 is the most prevalent gene found in FCCM, especially among Hispanic individuals in the US.2,12 Conversely, data from the Eastern World is lacking, apart from a few studies, including a small study of 18 Japanese people that reported MGC4607/CCM2 as the predominant variant, and a case report of 2 Chinese families who had CCM1 and MGC460/CCM2 variations.13,14 Interestingly, ES had the variant thought to be least prevalent, PDCD10/CCM3, accounting for 10% to 15% of FCCM.7,15
FCCM caused by variants in PDCD10/CCM3 also has the most severe clinical profile, with higher lesion burden, younger age at onset, and a higher risk of early-onset cerebral hemorrhage and rebleeding.2,4,7,15 Knowing the genetic variant carried by ES allowed us to identify this severe phenotype and aided in prognostication, counseling, and disease monitoring. Predictive testing should be offered to family members for early detection.2 ES had no offspring and 1 younger sister, who was offered genetic counseling and testing; she was scheduled for brain MRI after it was found she also had the PDCD10/CCM3 variant. Further history taking also revealed their mother developed chorea 1 year before death in her 50s, possibly a consequence of a bleeding cavernoma, whereas their untested father remained symptom-free.

Treatment
There is no available medical therapy for CCM. Drugs targeting the pathobiology and molecular signaling of the CCM protein are in development with ongoing clinical trials.7,16 Surgical excision and radiotherapy should be offered on a case-by-case basis.10,16 Patients and family members should be counseled regarding the genetic implications. Medications that can increase risk of bleeding (eg, nonsteroidal anti-inflammatory drugs [NSAIDs], heparin, or warfarin) should be avoided or weighed carefully for risks and benefits before use.5,17
Summary
Larger epidemiologic and genetic studies are required in Asian populations for better understanding of the actual incidence of FCCM. It is important to consider the diagnosis of FCCM when multiple calcified intracranial lesions are seen on CT scan even when neurocysticercosis is endemic in the region. MRI and genetic testing, if available, are essential for accurate diagnosis and avoidance of unnecessary treatment from misdiagnosis of neurocysticercosis, as seen in our case.
Ready to Claim Your Credits?
You have attempts to pass this post-test. Take your time and review carefully before submitting.
Good luck!
Recommended
- Imaging & Testing
MRI Clues to Intracranial Infection: Differentiating Bacterial, Viral, Fungal, and Parasitic CNS Disease
Márk Kozák, MD; Máté Sik, MDMárk Kozák, MD; Máté Sik, MD - Imaging & Testing
Neuroimaging: Clinical Impact of Imaging Findings
Laszlo Mechtler, MD, FAAN, FEAN, FASN, FAHSLaszlo Mechtler, MD, FAAN, FEAN, FASN, FAHS - Imaging & Testing
Neuroimaging After Brain Radiotherapy and Radiosurgery
Venkatesh Shankar Madhugiri, MBBS, MCh, FACS; Neil D. Almeida, MDVenkatesh Shankar Madhugiri, MBBS, MCh, FACS; Neil D. Almeida, MD






