Understanding Chiari Malformations
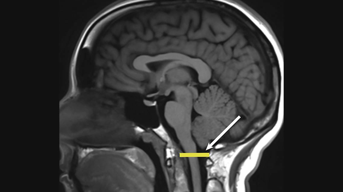
Chiari malformations comprise a spectrum of congenital hindbrain abnormalities that affect the structural relationships among the cerebellum, lower brain stem, upper cervical spinal cord, and the foramen magnum within base of the skull (craniocervical junction). The foramen magnum is an oval-shaped opening in the skull base. Normally, only the medulla extends below the foramen magnum, where it merges seamlessly with the cervical spinal cord. In Chiari malformations, the cerebellar tonsils descend more than 5 mm below the level of the foramen magnum (Figure).

Pathogenesis
There is increasing evidence that Chiari malformations are due to underdevelopment of the posterior cranial fossa, resulting in overcrowding compared with the normally developed hindbrain.1,2 The posterior cranial fossa is the part of the cranial cavity, which contains the cerebellum and lower brainstem (ie, the pons and the medulla). A smaller cranial fossa leaves a typically sized cerebellum, pons, and medulla with less space and overcrowding causes herniation of the cerebellar tonsils below the level of the foramen magnum, distortion of the pons and medulla, and an alteration in the normal spinal fluid dynamics through the foramen magnum.
Classification
There are 4 recognized types of Chiari malformation according to current classification.
Chiari type I malformations (CM-I) are characterized by abnormally shaped cerebellar tonsils displaced more than 5 mm below the level of the foramen magnum. Normally, only the spinal cord descends through the foramen magnum (Figure). CM-I is the most commonly encountered Chiari malformation. The prevalence of CM-I in the US is approximately 0.1% to 0.5%, with the number of new cases diagnosed each year ranging from 5.5 to 78 cases per 100,000 people.3,4 CM-I has a slight female predominance of 1.3:1.
Chiari type II malformations (CM-II), also known as Arnold-Chiari malformations, are characterized by downward displacement of the cerebellar tonsils and vermis as well as the medulla more than 5 mm below the level of the foramen magnum, a “beaked” appearance of the tectum on imaging studies, and a spinal myelomeningocele. Hydrocephalus is commonly present.
Chiari type III malformations (CM-III) are the most rare. These malformations combine a small posterior fossa with a high cervical or occipital encephalocele. CM-III is often associated with displacement of the cerebellar structures into the encephalocele with inferior displacement of the brain stem into the spinal canal.
Chiari type IV malformations (CM-IV) are characterized by cerebellar hypoplasia unrelated to other Chiari malformations.
Proposed New Classifications
Two new types of Chiari malformation have been proposed. Chiari type 0 is characterized by normal position of the cerebellar tonsils and the presence of a spinal cord syrinx with signs and symptoms of CM-I.5,6 Chiari type 1.5 is characterized by increased cerebellar tonsillar descent with brainstem involvement.5,7
It is generally accepted that extension of the tonsils up to 3 mm below the foramen magnum is considered normal, extension between 3 and 5 mm below the foramen magnum is considered borderline, and extension beyond 5 mm is clearly pathologic.8 Hence, the diagnosis of CM-I is made by imaging evidence of cerebellar tonsillar herniation more than 5 mm below the level of the foramen magnum. The 5 mm criteria has been challenged as being too nonspecific considering that many individuals who meet this criteria on MRI but are asymptomatic, whereas some individuals who do not meet the criteria have symptoms associated with abnormal spinal fluid flow and crowding of structures at the level of the foramen magnum.9
Clinical Presentation
People with CM-I are classified as being asymptomatic or symptomatic. Approximately 15% to 30% of people with CM-I are asymptomatic at the time of diagnosis.4,10-13 The asymptomatic group includes people who are “oligosymptomatic” with symptoms that are mild and nonspecific. It is difficult to classify malformation in individuals who are oligosymptomatic because their symptoms may be attributed to various etiologies other than CM-I.14 Several studies have analyzed the natural history of asymptomatic CM-I to determine how often people who were asymptomatic ultimately developed symptoms. Most people with symptomatic CM-I remain stable for years, whereas others deteriorate or, rarely, improve.4,15-18 From a clinical perspective, CM-I present most frequently in early childhood between age 8 and 9 years or in adults between age 41 and 46.19
Clinical manifestations develop as a result of 3 pathologic consequences of the distorted hindbrain anatomy: 1) compression of the cerebellum; 2) compression of the of the brainstem and upper cervical spinal cord; and 3) abnormal cerebrospinal fluid (CSF) flow around and through the foramen magnum. The presenting neurologic findings of CM-I can be divided into 5 separate syndromes as follows, all explained by these 3 pathologic consequences.20-25
Spinal cord syndrome occurs in 65% to 84% of cases and presents with motor weakness and sensory changes. Brainstem syndrome is seen in 22% to 38% of cases and presents with blurred vision, horizontal or downbeating nystagmus, and diplopia when the upper brainstem is affected and with hoarseness, dysphonia, dysarthria, dysphasia, vocal cord paralysis, palatal weakness, and tongue atrophy when the lower brainstem is involved. Cerebellar syndrome presentations occur in 11% of cases with incoordination, ataxia, and dysmetria. Cortical syndrome is rare, occurring in less than 3% of cases and presenting with brain fog, depression, generalized weakness, and fatigue. Even more rare is systemic syndrome in less than 2% of cases, presenting with chest pain, shortness of breath, pickups, postural hypertension, and syncope.
The presenting signs and symptoms in CM-I are quite nonspecific.9,26 In a study of 244 adults and 74 children with CM-I, 82% to 90% had suboccipital headache, 78% to 81% had posterior neck pain, 60% to 67% had dizziness, and 49% and 48% had nausea, respectively.27 The presenting symptoms and signs in a case series of 71 people are shown in Table 1.28

In summary, the most frequent signs and symptoms of CM-I include headaches with neck pain, dizziness, weakness, sensory changes, and hyperreflexia. The majority of signs and symptoms may be explained by hindbrain compression, although the headaches and neck pain are due to altered CSF dynamics.
Headaches
Pain is the most frequently reported presenting symptom of CM-I but is also among the most frequently encountered complaints in clinical practice. This overlap makes it difficult to evaluate whether a headache is a symptom of CM-I, secondary to another clinical problem, or a headache disorder (eg, tension-type headache or migraine). This is not a trivial dilemma, considering that persons with symptomatic CM-I are often referred for surgical intervention, whereas people with asymptomatic CM-I are often followed conservatively. Unfortunately, the frequency of migraine, tension-type headache, or chronic daily headache in population studies is similar to that of people with CM-I. In short, the presence of headaches in persons with significant tonsillar herniation does not automatically imply they have symptomatic CM-I.
Cough headaches, triggered by coughing, laughing, sneezing, or any Valsalva maneuver, often play an important role in the diagnosis of CM-I. Cough headaches, by definition, have a mean duration of 1 minute within a range of 3 seconds to 4 minutes. Cough headaches are classified as primary, which are not associated with intracranial disorders, or secondary. Approximately 40% of cough headaches are secondary, and most of these patients have CM-I. Other reported causes of secondary cough headache include spontaneous intracranial hypotension, carotid or vertebrobasilar diseases, middle or posterior fossa tumors, midbrain cysts, basilar impression, platybasia, subdural hematoma, cerebral aneurysms, and reversible cerebral vasoconstriction syndrome. Secondary cough headaches are due to transient impaction of the cerebellum tonsils below the foramen magnum that causes compression of the first and second cervical nerve roots by the caudally displaced cerebellar tonsils.26,29,30
In a study of 40 individuals with secondary cough headaches, 32 (80%) had radiographic evidence of CM-I.31 Another study of 34 people with CM-I, showed 59% complained of headaches, 34% had cough headaches, 41% had chronic daily headaches lasting from 3 hours to several days, and 24% had continuous headaches. The authors reported 12% of the participants met the diagnostic criteria for tension-type headache and 10% met the diagnostic criteria for migraine.32 Although the majority of people with cough headaches have CM-I, only a minority of people with CM-I have cough headaches. Ideally, the optimal way to understand the signs and symptoms associated with CM-I would be to correlate the findings to the degree of tonsillar herniation. Unfortunately, convincing evidence is conflicting. The degree of tonsillar herniation correlated with the presence of cough headache in only 1 of the case series discussed.
Recently, the 3rd edition of the International Classification of Headache Disorders (ICHD-3) proposed diagnostic criteria for headaches due to CM-I and MRI criteria for the diagnosis of CM-I (Table 2).33 To help determine whether headaches in a person with cerebellar tonsillar herniation more than 5 mm below the foramen magnum are due to CM-I, advanced motion-sensitive MRI imaging techniques are necessary.

Diagnostic Neuroimaging: Phase Contrast Flow MRI
Routine MRI studies can identify abnormal descent of the cerebellar tonsils below the foramen magnum, but do not provide information on CSF flow. Phase-contrast cine flow MRI is the imaging technique used to analyze CSF circulation at the level of the foramen magnum. Normally, during the cardiac cycle, there is bidirectional flow of CSF. During systole, there is an increase in the cerebral blood volume with displacement of the CSF caudally through the foramen magnum as a compensatory mechanism. During diastole, the elastic recoil of the dura propels the CSF in a caudal-cranial direction towards the intracranial compartment. In brief, CSF flows down through the foramen magnum on systole and up through the foramen magnum during diastole. Systolic CSF flow follows the dorsal subarachnoid space (ie, downward flow behind the brainstem), whereas diastolic CSF flow follows the ventral subarachnoid space (ie, upward flow in front of the brainstem). A movie-like cine MRI can determine if, and by how much, a Chiari malformation is blocking this typical back-and-forth flow of CSF between the brain and spine.
Several studies have stressed the significance of altered MRI phase contrast cine flow at the level of the foramen magnum as a diagnostic tool for CM-I.34-36 A study has shown that the symptomatic presentation of CM-I correlates with both the absence of the normal CSF spaces at and below the foramen magnum and altered CSF dynamics at the craniocervical junction.13 Individuals with CM-I have significant elevations of peak systolic CSF velocity in the foramen magnum. In contrast, regular ebb and flow of CSF with relatively small variations in velocity throughout the subarachnoid space is evident in people without CM-I.37 In those with CM-I, jets of high velocity CSF were noted in some regions with little or no flow in other regions. CSF flow was also observed in a cephalad direction in a portion of the subarachnoid space and in a craniad direction at other times during the cardiac cycle. These spatial and temporal variations in flow suggested abnormal CSF pressure differentials and shear stresses with CM-I patients. In people with MRI evidence of significant tonsillar herniation who present solely with headaches, cine flow MRI studies have 2 significant benefits. First, cine flow MRI can determine whether the person’s headaches are related to the Chiari malformation, and second, it can provide a noninvasive method for serial followup of people with asymptomatic CM-I.
Summary
CM-I, the most common type of Chiari malformation, is characterized by cerebellar tonsillar herniation more than 5 mm below the level of the foramen magnum. The presenting signs and symptoms of CM-I are due to compression of the cerebellum, brainstem, and upper cervical spinal cord and disruption of the normal CSF flow around and through the foramen magnum. A significant minority of persons with CM-I are asymptomatic at the time of diagnosis. Those who are symptomatic typically complain of headaches, as well as neck pain, dizziness, and nausea. Unfortunately, the incidence of migraine, tension-type, and chronic daily headaches in the general population is similar to the incidence in CM-I. In a person with MRI evidence of significant tonsillar herniation, assessing whether migrainous, tension-type, or chronic daily headaches are symptomatic caused by CM-I requires MRI phase contrast cine flow studies.
Ready to Claim Your Credits?
You have attempts to pass this post-test. Take your time and review carefully before submitting.
Good luck!
Recommended
- Headache & Pain
When Migraine Treatments Fails: Navigating Therapy Switching
Vincent Martin, MD, FACP, FAHS; Charles Turck, PharmD, BCPS, BCCCPVincent Martin, MD, FACP, FAHS; Charles Turck, PharmD, BCPS, BCCCP - Headache & Pain
Hypermobility Spectrum Disorders and Migraine: Screening Matters
Lauren R. Natbony, MD, FAHS; Carly N. Ray, MDLauren R. Natbony, MD, FAHS; Carly N. Ray, MD






