Headache Attributed to Spontaneous Intracranial Hypotension
Diagnosis
When someone presents with an acute change in a previously existing headache disorder, it can be an optimal time to reevaluate for red flags that warrant assessment and determination of whether a secondary headache is now at play. The SNNOOP10 mnemonic is readily utilized as a diagnostic screening tool for these situations (Table 1).2 The SNNOOP10 criteria provide an approach to the headache workup and guide when new advanced imaging, including MRI or CT, are warranted. Once the decision to proceed with new imaging has been made, choosing the best modality becomes paramount. The American College of Radiology has devised criteria for the appropriate use of advanced imaging in the evaluation of headache, based on seven common headache presentations. Notably, advanced imaging is usually not appropriate for new headache with a normal neurologic examination that is consistent with a classic migraine attack or tension-type headache, or other chronic headache without new features or neurologic deficits.3

When imaging is appropriate (Table 2), CT is less expensive, more readily available, and often preferred in the emergency department where conditions such as skull fractures or acute intracranial hemorrhage need to be recognized quickly. MRI, however, is preferred for assessing other potential causes of secondary headache including vascular disease, neoplastic disease, infections, and cerebrospinal fluid (CSF) hypotension.4 MR and CT angiography can be equally effective for identifying vasculitis, intracranial aneurysms, and carotid and vertebral artery dissections. MR venography and CT venography are the best approach for cerebral venous thrombosis.5 Overall, imaging in the presence of red flags can be very low yield with resulting abnormalities seen in 0.3% to 3.7% of people who have such imaging studies.6-9

Imaging Studies
The International Classification of Headache Disorders 3rd Edition (ICHD-3)10 lists 4 criteria prominently in the diagnosis of a headache attributed to spontaneous intracranial hypotension (SIH). These are:
1. any headache that developed in temporal relation to low CSF pressure or CSF leakage,
2. any headache that leads to its discovery of SIH,
3. low CSF pressure (<60 mm CSF),
4. evidence of CSF leakage on imaging.
Although there can be many causes of SIH (eg, trauma, recent surgical or procedural interventions, or CSF-shunt over-drainage), when none is present, a spontaneous CSF leak becomes the most likely underlying cause. On clinical presentation, an SIH-related headache predominantly manifests as an orthostatic headache that is often holocranial or occipital but can also be frontal, fronto-occipital, temporal, or in undefined regions. A wide variety of other symptoms may also be present; approximately 50% of people with SIH have nausea or vomiting; approximately 30% have neck pain or stiffness; and tinnitus, dizziness, hearing disturbances, and photophobia are also known to occur.11 Headache attributed to SIH is more prevalent in women and occurs at all ages. Risk factors include connective tissue disorders (notably, Ehlers-Danlos syndrome), bariatric surgery, and spinal pathologies including osteophytes, disc prolapse and discogenic microspurs.11
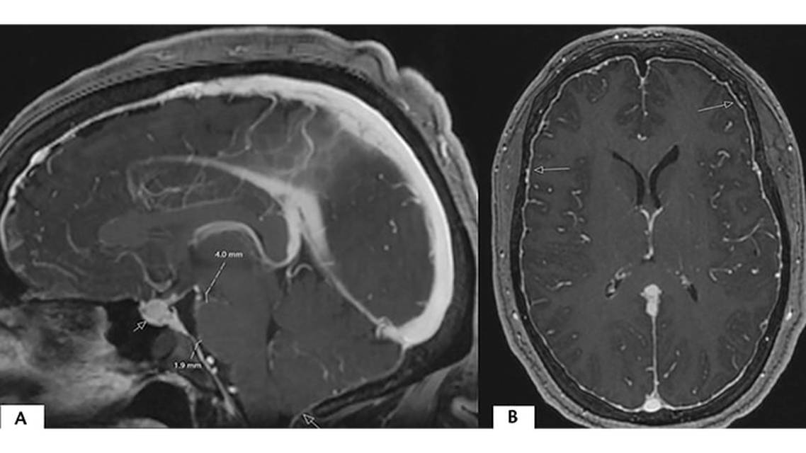
Both qualitative (Table 3) and quantitative measurements of imaging studies can be used in determining the likelihood of SIH.12 Subdural fluid collections can be hygromas and may be bilateral or unilateral. Occasionally, these can be subdural hematomas that have grown large enough to become symptomatic.13 Engorgement of the venous structures may not be self-evident and is best examined in comparison with prior imaging, if available.13 Pituitary hyperemia can appear similar to pituitary hyperplasia or neoplasia.14 Sagging of the brain manifests as brain displacement, often below the foramen magnum appearing similar to a type 1 Chiari malformation.15

Measurement of specific imaging signs can also be useful. The size of the suprasellar cistern, prepontine cistern, and the mamillopontine distance have all been shown to be strongly correlate with the presence of a CSF leak.16,17 Imaging, however, is not the sine qua non of CSF leak diagnosis; a negative or atypical brain MRI may be present, particularly if there has been a lengthy history of leak that can further obscure the diagnostic picture.12,18,19 Emphasizing this point, it was recently reported that 10% of people with orthostatic headache and normal brain and spine imaging using conventional modalities (eg, MRI and CT myelogram) had a surgically fixable CSF-venous fistula (ie, CSF loss directly into paraspinal vein) when lateral decubitus digital subtraction myelography (LDDSM) was used.20 This 10% is comparable to the yield of conventional imaging in this population.21
Treatment
Once a diagnosis of a spontaneous CSF leak has been made, determining treatment becomes paramount. Initial conservative measures include bed rest, hydration, caffeine, steroids, and analgesics. A recent meta-analysis of over 140 articles found that 28% of people with CSF leaks had symptom improvement without invasive treatment.11 If conservative measures fail, more invasive treatments are warranted, with the primary therapy being epidural injections with blood and/or fibrin glue. Before the procedure, additional imaging including brain and spine MRI may be considered to assess for a specific target area for the patch. Such imaging, however, has not yet been proven to improve outcomes as nondirected and targeted blood patches have equal efficacy in the literature.22,23 If a targeted approach is used, either CT or MRI myelography with contrast can help identify the location and extent of a CSF leak. Contrast may collect retrospinally in the C1-C2 areas and can be mistaken for the site of the CSF leak.24, 25 When a blind patch is performed, the lumbar spine is often preferred because of the size of the lumbar epidural space. Initially, 10 to 20 mL of blood can be used and relieves symptoms in up to a third of individuals treated. Repeat blood patches can be performed as needed after at least 5 days have passed, and larger volumes of 20 to 75 mL can be administered as needed until local back pain or radiculopathy occurs.12 Patients respond quite well to epidural blood patches with up to 64% having clinical improvement without need for further intervention.11 In those who do not receive sustained benefit from an epidural blood patch, a targeted patch with fibrin sealant can be attempted, provided the specific site of the leak has been elucidated.26
Surgical intervention can be considered if there is a discrete lesion and lack of sustained response to epidural blood patching. MRI imaging can reveal abnormalities such as leaking meningeal diverticula that can be ligated with suture or an aneurysm clip, or dural tears, holes, or other punctures that can be closed with suture or a graft.11
Conclusion
Although outcomes of epidural blood patches are indeed generally quite positive, particularly with repeat blood patches and surgical interventions if needed, a minority cohort can continue to have symptoms despite radiographic resolution of the CSF leak. For these individuals, it is critical to continue interdisciplinary care with any comorbid conditions and psychologic needs being fully attended to.
Ready to Claim Your Credits?
You have attempts to pass this post-test. Take your time and review carefully before submitting.
Good luck!
Recommended
- Epilepsy & Seizures
Functional Neurologic Symptom Disorder Resolving After Endoscopic Encephalocele Repair
Charles F. Palmer, MD; Rodney J. Schlosser, MDCharles F. Palmer, MD; Rodney J. Schlosser, MD - Imaging & Testing
MRI Clues to Intracranial Infection: Differentiating Bacterial, Viral, Fungal, and Parasitic CNS Disease
Márk Kozák, MD; Máté Sik, MDMárk Kozák, MD; Máté Sik, MD - Imaging & Testing
Practical MRI in Neurology: Use Cases, Technologies, and Opportunities for Outpatient Clinics
Joseph Fritz, PhD; Edmond A. Knopp, MD, DABR, FASFNRJoseph Fritz, PhD; Edmond A. Knopp, MD, DABR, FASFNR









