Cerebral Vasoconstriction and Vasospastic Angina Secondary to Pheochromocytoma
Case Presentation
NS, 39 years old, presented to the emergency department of an academic medical center with 2 episodes of thunderclap headache associated with concurrent chest pain. The history was significant for anxiety. The thunderclap headache episodes were separated by 2 days. The first episode was triggered by leaning back over an exercise ball (i.e., Valsalva maneuver). The second, more intense episode woke NS from sleep. At the emergency department, NS was noted to have elevated troponin levels, peaking at 0.167 ng/mL, then trending down. Left heart catheterization revealed normal coronary arteries. Vasospastic angina (Prinzmetal angina) and migraine were suspected.
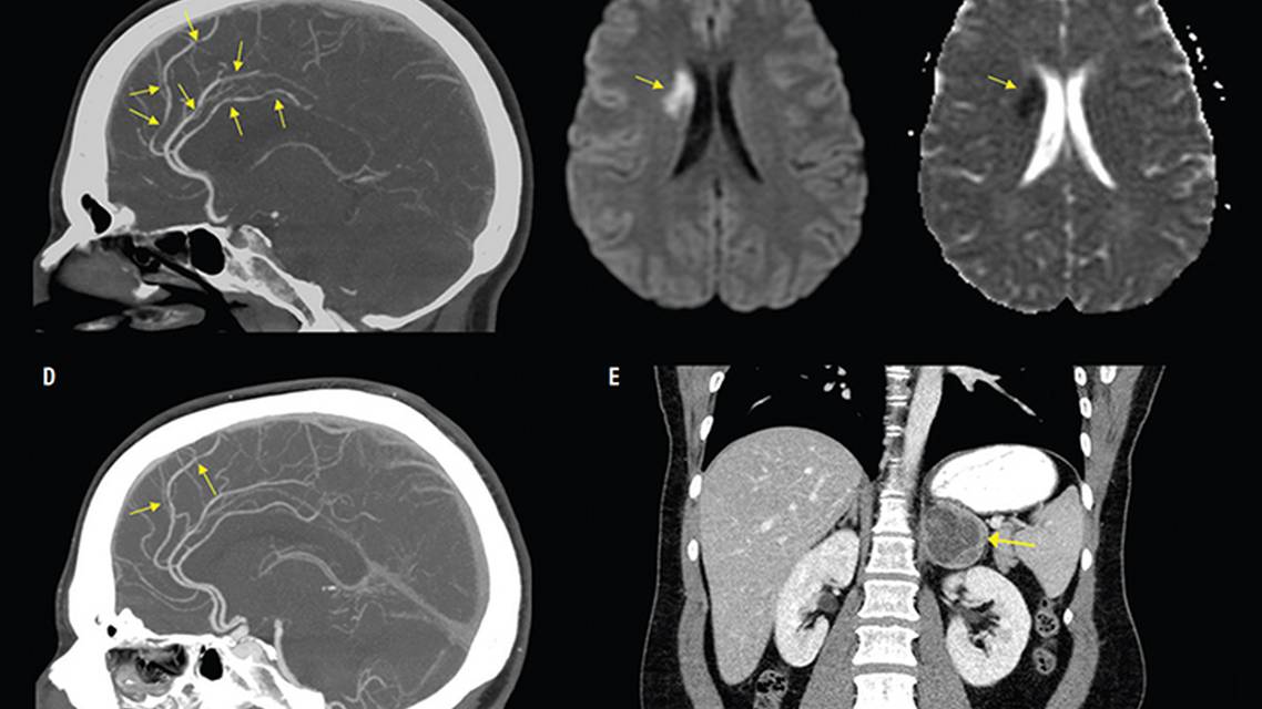
Over the subsequent days, NS experienced 2 additional attacks of thunderclap headache with concurrent chest pain, prompting a return to the emergency department. At the second emergency department visit, troponin levels were within normal limits. CT head did not show hemorrhage. CT angiogram revealed multifocal narrowing of the distal intracranial arteries for which the differential diagnosis included reversible cerebral vasoconstriction syndrome (RCVS) and vasculitis. Conventional cerebral angiography confirmed the presence of multifocal areas of mild smooth narrowing of the branch vessels of the anterior and middle cerebral arteries bilaterally (Figure 1A). MRI of the head revealed an acute infarct involving the right caudate body extending into the white matter (Figures 1B, 1C), as well as additional punctate foci of diffusion restriction throughout the right hemisphere, reflecting acute infarcts. Lumbar puncture revealed normal glucose, increased protein (74 mg/dL), and normal cell count, with an opening pressure of 23 cm (Table 1). NS was discharged on nimodipine with a diagnosis of RCVS.

One week after discharge, after a massage, NS developed severe headache, chest pain, and black spots in the field of vision lasting about 30 minutes. NS was seen urgently in neuro-ophthalmology and found to have left homonymous hemianopsia. NS was readmitted to the hospital. Repeat conventional angiography showed significant improvement in vessel caliber, although there was persistent focal narrowing of the right pericallosal artery (Figure 1D), which improved with verapamil infusion, and NS was discharged.
Over the subsequent 2 months, NS continued to have headache on a near daily basis, lasting the majority of the day, interspersed with bouts of thunderclap headaches and chest pain, leading to readmission. During the third admission, NS described an area on the back where applying pressure seemed to trigger thunderclap headache. Imaging of this area, including thoracic MRI followed by abdominal CT, revealed a left adrenal gland mass (Figure 1E). Plasma and urine metanephrines were significantly elevated (plasma normetanephrine, 9.0 nmol/L [normal <0.90]; metanephrine, 3.0 nmol/L [normal <0.50]) (Table 1). The left adrenal gland mass was resected, resulting in a final pathologic diagnosis of pheochromocytoma.

Case Resolution
After the lesion was removed, the metanephrine levels normalized promptly and the visual field defects resolved, but the headaches persisted. NS described 2 headache types. The first occurred on most days and had a phenotype of chronic migraine. The second was thunderclap in nature, was milder than previous attacks, lasted ≈30 seconds/attack, did not involve chest pain, and could be triggered by sexual intercourse (at orgasm) but not Valsalva maneuver. During this time, plasma and urine metanephrine levels continued to be within normal limits. NS was diagnosed with persistent headache attributed to past reversible cerebral vasoconstriction syndrome (International Classification of Headache Disorders–3 6.7.3.3), and treated with amlodipine, propranolol, and erenumab, with moderate success.
Discussion
Pheochromocytomas are neuroendocrine tumors that arise from chromaffin cells in the adrenal medulla, part of the sympathetic division of the autonomic nervous system.1 These tumors occur rarely in children and increase in incidence through adulthood, peaking in the 60- to 79-year-old age group at 4 to 6 cases per 100,000 people per year, possibly with a slight female predominance.2
Whereas most pheochromocytomas occur sporadically, approximately one-third are familial, associated with germline disease-causing mutations (eg, multiple endocrine neoplasia type 2, von Hippel-Lindau disease).3 Genetic testing in our patient (Invitae hereditary paraganglioma-pheochromocytoma panel) did not reveal any pathogenic sequences.
Most pheochromocytomas secrete catecholamines.4 Those that do usually secrete a combination of norepinephrine and epinephrine (as was the case with our patient). Only about one-third of pheochromocytomas secrete norepinephrine alone, and even fewer secrete epinephrine alone.4
Pheochromocytomas have been associated with several cardiovascular diseases, including hypertension,5 stroke,1 RCVS,6-11 ischemic heart disease,1 myocardial infarction,5 cardiomyopathy,12,13 and vasospastic angina.5,14-17
Previous reports in which pheochromocytoma has been linked to RCVS or vasospastic angina are described in Table 2.

Our patient’s case is unique in that pheochromocytoma was associated with both RCVS and vasospastic angina (vasospasm of both cerebral and coronary blood vessels), suggesting there may be overlap in the pathophysiology of these 2 diseases. A pair of similar cases involving both RCVS and vasospastic angina have been reported.18,19 However, no unifying cause was identified in those cases.
The mechanisms linking pheochromocytoma to RCVS or vasospastic angina are not clear, but may be related to the actions of high levels of catecholamines secreted by these tumors.6,9-11,13,16 Catecholamines play important roles in regulating vascular tone through their effects on adrenergic receptors, including α1, α2, Β1, and Β2 receptors. Activation of α-adrenergic receptors leads to vasoconstriction, whereas activation of Β-adrenergic receptors leads to vasodilation.20,21 Both cerebral and coronary arteries contain a combination of α- and Β-adrenergic receptors.21-23 At supraphysiologic catecholamine concentrations, as can occur with pheochromocytoma, the balance of vascular tone may be disrupted. This idea is supported by the fact that several sympathomimetic drugs, such as cocaine, amphetamines, and phentermine, have similarly been associated with arterial vasospasm.24-26
An interesting aspect of our case is that attacks could be triggered by applying pressure to a particular region of the back. It was this observation that led to the imaging in which pheochromocytoma was discovered. A similar case involving body massage with compression of the flank leading to pheochromocytoma crisis has been reported.27 It is unclear whether flank compression leads to pheochromocytoma activity through mechanical compression of the tumor, by serving as a Valsalva maneuver, or another etiology.
In most cases of pheochromocytoma-induced vasospasm, resection of the tumor and normalization of catecholamine levels lead to resolution of symptoms.5,7,8,13
Conclusion
This is the first reported case of pheochromocytoma associated with both RCVS and vasospastic angina in the same patient. The co-occurrence of arterial vasospasm in both cerebral and coronary arteries suggests the possibility of a unifying mechanism of these 2 poorly understood conditions, which may be mediated by the effects of catecholamines.
Patient Perspective
I was 39 years old when a pheochromocytoma made its presence known and changed my life. I was upside down, stretching on an exercise ball, when I developed crushing chest pain, drenching diaphoresis, and the most severe headache I had experienced in my life. My entire skull was on fire and the pain came in waves. The pain was so significant that I started vomiting uncontrollably. I was scared I was going to die.
At the emergency department, the lack of initial physician concern changed when my troponin level came back elevated. This finding would kick off months of chasing symptoms. During a subsequent hospital admission, I pushed for imaging as I was not getting any better and the diagnosis of RCVS was supposed to be self-limiting. The neurologist agreed and I was discharged after my thoracic MRI. The next morning I received a call. They had found something. We had an answer. Pheochromocytoma was to blame for the non-ST–segment elevation myocardial infarction and strokes.
I cannot begin to explain how terrifying it was to have these significant medical issues with no clear answer for months. I suffered terribly with thunderclap headaches and crushing chest pain, unsure if I was ever going to get better. Having a rare diagnosis and presentation was incredibly difficult. Physicians were uncertain how to treat both cardiac and cerebral vasospasm.
I am extremely grateful to have made it through this.
Ready to Claim Your Credits?
You have attempts to pass this post-test. Take your time and review carefully before submitting.
Good luck!
Recommended
- Epilepsy & Seizures
Functional Neurologic Symptom Disorder Resolving After Endoscopic Encephalocele Repair
Charles F. Palmer, MD; Rodney J. Schlosser, MDCharles F. Palmer, MD; Rodney J. Schlosser, MD - Imaging & Testing
Neuroimaging: Clinical Impact of Imaging Findings
Laszlo Mechtler, MD, FAAN, FEAN, FASN, FAHSLaszlo Mechtler, MD, FAAN, FEAN, FASN, FAHS - Imaging & Testing
Practical MRI in Neurology: Use Cases, Technologies, and Opportunities for Outpatient Clinics
Joseph Fritz, PhD; Edmond A. Knopp, MD, DABR, FASFNRJoseph Fritz, PhD; Edmond A. Knopp, MD, DABR, FASFNR






