Supplementary Motor Area Glioma Presenting with Musicogenic Epilepsy: “Singing Seizures”
Recognition of musicogenic epilepsy should prompt a standard seizure workup to include neuroimaging.
Case Presentation
RP, aged early 30s with a history of anxiety and right-hand dominance, presented after 3 years of unusual episodes. These episodes consisted of uncontrollable lateral neck movements with leftward head deviation, which would continue for about 5 seconds independently and then begin to involve lateral eye movements in the same direction. After 2 to 3 seconds, with the head and eyes continuing to deviate, RP would experience facial grimacing. During these episodes, RP was unable to speak but had preserved awareness. These brief episodes lasted for a few seconds (less than 10) but could happen recurrently within 1 minute with this stereotyped semiology.
The first episode occurred while RP was singing “The Wheels on the Bus” to their son. Another episode occurred later while RP was singing “Happy Birthday to You.” RP was employed as a nurse in an intensive care unit and noted that even imagining the beat to “Staying Alive” during training in cardiopulmonary resuscitation triggered an event. Other episodes were triggered by hearing or singing the chorus of popular songs.
RP noted that the events typically would occur while listening to familiar, upbeat, pop music, particularly during the chorus. RP described the provoking music as beats “you would tap your foot to.” No events were triggered by music characterized as “soft” or “ambient”. RP noted that the triggering songs had a similar tempo at approximately 80 to 100 beats per minute but did not believe a particular music tone was contributory to episodes. RP noticed that simply thinking about dancing to or singing along with music with anticipatory rhythms was a strong precipitant. RP denied any personal emotional connection to the music.
These episodes occurred monthly, and RP attempted to abstain from singing or listening to music. Although this avoidance of music decreased the frequency of the episodes, they still occurred when RP thought of music or was exposed to music unintentionally. Given the persistence of seizures, RP was placed on levetiracetam, which needed to be titrated up because of continued breakthrough episodes when exposed to music.
RP had been evaluated previously by other providers and had been told that these episodes were psychogenic in nature, secondary to anxiety, and further workup was deferred.
Diagnostic Process
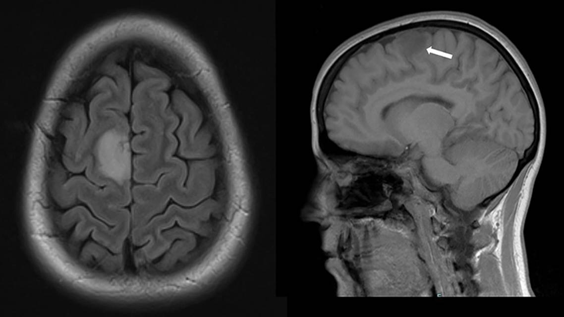
Further evaluation revealed that RP had no known seizure history and no identifiable risk factors for epilepsy. RP had never experienced a seizure without a music trigger. Neurologic examination was unremarkable and did not reveal deficits. There were no significant findings from laboratory testing. EEG results were normal despite several attempts to trigger the symptoms by singing and listening to songs that had triggered episodes previously. A MRI brain scan was notable for a 2.9-cm nonenhancing T2-hyperintense lesion in the right superior frontal gyrus that was concerning for a low-grade glioma. Gross total resection of the mass revealed a grade 2 oligodendroglioma (Figure).

Case Resolution
RP underwent craniotomy and resection of the mass. After the surgical resection, the course was complicated by postoperative edema, which caused left hemiparesis. RP was treated with steroids for the swelling. After being discharged from the hospital, RP was sent to inpatient rehabilitation and regained near-full strength after receiving physical therapy. RP also was referred for speech therapy because of new word-finding difficulty postoperatively, which improved. RP was dispositioned to surveillance for the oligodendroglioma, with stability noted on interval imaging at 2 and 6 months postoperatively.
Following the resection, RP continued levetiracetam and was able to resume singing and listening to music without triggering a seizure. Because of the lesional etiology of the seizures, plans to wean RP from antiseizure medication was deferred for a couple of years.
RP has been able to resume working as an intensive care unit nurse.
Discussion
Musicogenic epilepsy (ME) is a reflex epilepsy triggered by music, with a reported prevalence of about 1 in 10 million.1 The average age at onset is 28 years, with a slight female predominance.2 ME seizures are typically focal with impaired awareness and automatisms1,3 or, less commonly, generalized tonic-clonic seizures.4 In contrast to RP, structural MRI results are normal in 87.5% of individuals with ME.5 People with ME frequently experience spontaneous seizures.2
The pathophysiology of ME is not fully understood. It is thought that individuals with ME have cortical hyperexcitability in regions shared with the physiologic network linked to the triggering activity.3 Some researchers have suggested that the emotional perception of music, rather than the music itself, is ictogenic.5 These seizures predominantly localize to the temporal lobe, particularly on the right.1 This localization was demonstrated in a series of 60 individuals with ME evaluated with ictal EEG.2 Evaluations using surface EEG, intracranial EEG,5 ictal single-photon emission CT, and interictal [¹⁸F]fluorodeoxyglucose positron emission tomography1 have also suggested localization to the temporal lobe.
RP’s presentation was unique because of its correlation with a tumor in the right superior frontal gyrus. Normal interictal EEG was not localizing, but the semiology of leftward eye and head deviation without automatisms or aura argues against the more common right temporal lobe localization and is more suggestive of a right frontal lobe focus. Lack of evolution of the brief seizures argues against propagation distant from the tumor.6 Seizure resolution with tumor resection strongly supports our suspected localization of the epileptogenic focus. This region harbors the supplementary motor area (SMA), which plans movements performed by the primary motor cortex. To our knowledge, this is the first case of ME found to localize to the SMA. Our case suggests a relationship between ME and the SMA. We hypothesize that the rhythmic nature, upbeat tempo, and familiarity of the triggering songs stimulated music processing networks in the SMA, leading to the seizures.
Music processing is complex, with multiple interconnected pathways, and is incompletely understood. Neuroimaging studies have shown that in addition to activation of the auditory cortex, there is also increased activity in language networks, frontotemporal networks, and motor areas.5 Motor areas are thought to be involved in rhythm processing, such as pattern analysis and prediction.5 The right hemisphere is thought to process the emotional content, pitch, timbre, and melody of music.5 In a systematic review7 and in functional MRI studies,8 the SMA was more likely to be activated by familiar music over random tones. This activation is thought to be attributable to engagement with melodic, rhythmic familiarity and the “sing song” response in one’s mind.7 During active singing, PET scans have shown increased activity predominantly in the right premotor areas when compared with normal speech.9 This right hemisphere melody processing, and this activation of the SMA with singing and listening to familiar rhythmic songs, explains how RP’s right SMA tumor location provoked the musicogenic seizures triggered by well-known, rhythmic songs.
Recognition of ME should prompt a standard seizure workup to include neuroimaging. Our case provides a novel example of lesional ME aligning with the fact that low-grade gliomas are notoriously epileptogenic, with seizure as the presenting sign in more than 80% of cases.10 Previous providers did not recognize the significance of RP’s symptoms, delaying discovery and resection of the glioma.
This case highlights that ME may not localize to the temporal lobes and that a musicogenic seizure focus can exist anywhere along musical processing networks. Qualities of triggering music may help facilitate localization, given the observation that familiar beats mostly activate the right SMA. Awareness of this rare phenomenon can be useful in the approach to individuals with atypical episodes.
Ready to Claim Your Credits?
You have attempts to pass this post-test. Take your time and review carefully before submitting.
Good luck!
Recommended
- Epilepsy & Seizures
Utility of Stereoelectroencephalography in the Treatment of Drug-Resistant Epilepsy
S. Katie Z. Ihnen, MD, PhD; Ravindra Arya, MD, DMS. Katie Z. Ihnen, MD, PhD; Ravindra Arya, MD, DM - Epilepsy & Seizures
Pharmacologic Management of Behavioral Challenges and Psychiatric Comorbidities in People With Epilepsy
Lauren Waldron, MDLauren Waldron, MD






