Seizures, Visual Auras, & Diffuse Cortical Enhancement
Clinical Presentation & History
Ms A, who is age 40 and left-handed, presented with a left visual field deficit, new-onset seizure-like activity, and gait disturbances that had been occurring for 1 week. Her past medical history is significant for medulloblastoma at age 5 years that was treated with surgery and radiotherapy and consequent developmental delay. At age 32, Ms A developed hydrocephalus, requiring a ventriculoperitoneal (VP) shunt. She also had meningoencephalitis at age 32 but never received any immunosuppressive therapies. Notably, Ms A has a significant predisposition for seizures resulting from her combined history of developmental delay, learning disabilities, brain neoplasm, neurosurgery, radiation, and central nervous system (CNS) infection. Ms A had seizures witnessed by her parents with 2 distinct presentations: 1) lip-smacking, vocalization, and evolution to bilateral tonic-clonic seizures; and 2) a blank stare, lip-smacking, and preceding aura of “red balloons.” These seizures were initially controlled by treatment with lacosamide 100 mg twice daily. Ms A was taking no other medications. She also complained of increased difficulty ambulating around her apartment.
Physical and Neurologic Examination
Ms A’s vital signs were all within normal limits and she states that she does not use alcohol, tobacco, or illicit drugs. Her family history is noncontributory, and she has no known allergies. Ms A was alert and oriented but demonstrated moderate paucity of spontaneous speech. Her cranial nerve examination was notable for left homonymous hemianopia to confrontation. Her pupils were equally round at 4 to 5 mm bilaterally and reactive to light. She also had right-sided facial droop with nasolabial flattening. Strength testing was 4 out of 5 in her right biceps, triceps, handgrip, and hip abduction and adduction, and tone was mildly increased in her right upper and lower extremities. Ms A’s reflexes were 2+ in bilateral upper and lower extremities with downgoing Babinski reflex bilaterally. Her rapid alternating movement was mildly slowed, but symmetric bilaterally. Her gait was mildly unsteady with some difficulty advancing her right leg with mild spasticity; she turned in 4 to 5 steps. Review of systems was negative for headaches, back pain, neck pain, shortness of breath, and loss of consciousness and positive for blurred vision.
Diagnostic Studies
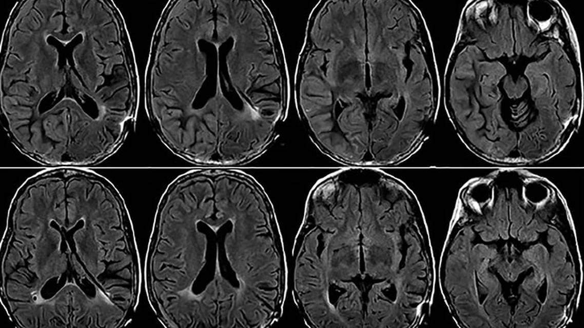
Ms A’s continued visual deficits, motor weakness, and gait difficulties were concerning for persistent focal seizures. Her brain MRI demonstrated diffuse cortical thickening, enhancement, and T2/fluid-attenuated inversion recovery (FLAIR) hyperintensity involving her right temporal, parietal, and occipital lobes (Figure). These MRI findings suggested Ms A was experiencing focal seizures secondary to right-sided cortical enhancement. Continuous EEG monitoring in the inpatient setting did not show any seizure activity, however. CT neck angiography revealed multifocal moderate-to-severe stenosis in both vertebral arteries, specifically at the foramen magnum, distal cavernous right internal carotid artery, and the A2 segment of the right anterior cerebral artery. Cerebrospinal fluid (CSF) analysis results were largely unremarkable except for elevated protein at 274 mg/dL and red blood cells at 393 per mm3 (Table 1). Results of a comprehensive metabolic panel, complete blood count, and inflammatory markers (lactate and erythrocyte sedimentation rate) were within normal limits.


Treatment & Follow-up Care
Ms A’s lacosamide dose was increased to 150 mg twice a day, leading to resolution of seizures and complete restoration of all visual fields after 3 weeks. She had resolution of her symptoms and a nearly full recovery back to her neurologic baseline. She continues to experience mild gait unsteadiness but has otherwise remained asymptomatic over 3 years of follow-up.
Differential Diagnosis and Diagnosis
Differential diagnoses included stroke, posterior reversible encephalopathy syndrome (PRES), Creutzfeldt-Jakob disease (CJD), mitochondrial encephalomyopathy with lactic acidosis and stroke (MELAS), cerebral autosomal dominant arteriopathy with subcortical infarcts and leukoencephalopathy (CADASIL), and familial hemiplegic migraine (FHM).1-3 Ms A’s transient neurologic deficits, specifically the visual field deficits, seizures, facial droop, and diminished right-sided strength, in the setting of prior head radiation are consistent with the diagnosis of stroke-like migraine attacks after radiation therapy (SMART) syndrome.4 In contrast, CJD and MELAS are progressively detrimental,5,6 and PRES typically presents with hypertension or other underlying triggers (eg, immunosuppressive therapies or vasculitis) that also were not seen.7 Ms A’s spontaneous improvement with a prior history of malignancy treated with radiation to the brain are important factors that aid in her diagnosis, making SMART syndrome the most likely diagnosis.
Discussion
Radiation therapy is commonplace in the treatment of head and neck malignancies and other CNS pathologies, and SMART syndrome is among the rarest complications with approximately 50 documented cases.8

Symptoms of SMART syndrome manifest 1 to 35 years after radiation therapy, consisting of migraine-like headaches accompanied by focal neurologic signs (eg, hemiparesis, visual disturbances, and dysarthria/aphasia).4 Seizures have been reported in 39% to 80% of cases.2,4 Although headaches are commonplace in SMART (70% of cases), the absence of headache does not rule out SMART syndrome.3

Pathophysiology
The pathophysiology of SMART syndrome is poorly understood. Proposed mechanisms include radiation-induced neurotoxicity, blood-brain-barrier disruption, endothelial cell damage, vascular endothelial growth factor (VEGF) upregulation, perivascular inflammation, thrombus formation, smooth muscle proliferation, and fibrinoid necrosis of the vessel wall leading to vessel narrowing and occlusion.9 However, biopsy and autopsy studies do not provide evidence for any of these mechanisms. Nonspecific gliosis was found in some cases.4,9,10
Diagnosis
Diagnosis of SMART syndrome should begin with a detailed medical history and a thorough physical exam followed by brain MRI. There must be no evidence of residual or recurrent CNS neoplasia before considering SMART syndrome. Because SMART syndrome is rare, there are no consensus diagnostic criteria for SMART syndrome, although criteria have been proposed that include MRI demonstrating transient, diffuse, and unilateral cortical gadolinium enhancement of the cerebral gyri sparing the white matter within a previous radiation field (Table 2).3 Results of CSF analysis, EEG, angiography, serum lactic acid level, and blood pressure monitoring should also be used to rule out other possible diagnoses.3 Brain biopsy should be avoided because it is nondiagnostic and poses an unwarranted risk.9


Treatment
Resolution of symptoms occurs for most patients (>80%) within 2 months, irrespective of medical intervention.8,9 The effectiveness of corticosteroids or antiseizure medications in the management of SMART syndrome is controversial, but some cases suggest utility of these medications if initiated early in the disease process.1,4,8 Approximately one-third of people with SMART syndrome will have persistent symptoms, most commonly aphasia, hemiparesis, and cognitive changes. This was seen in Ms A with her continued gait difficulties.4 Some studies show permanent sequelae of cortical laminar necrosis in up to 27% of patients.9,10

Summary
This case highlights the importance of recognizing SMART syndrome to avoid unnecessary and invasive diagnostics, such as brain biopsies, as well as counseling patients on realistic functional expectations. SMART syndrome can be challenging to diagnose and can be mistaken for other syndromes, which can subsequently subject patients to unnecessary tests. Clinicians should conduct a thorough interview with all patients. This case provides a strong example of the importance of due diligence regarding past (childhood) medical and surgical history taking because decades can pass by before the manifestation of SMART syndrome.
Ready to Claim Your Credits?
You have attempts to pass this post-test. Take your time and review carefully before submitting.
Good luck!
Recommended
- Imaging & Testing
Neuroimaging: Clinical Impact of Imaging Findings
Laszlo Mechtler, MD, FAAN, FEAN, FASN, FAHSLaszlo Mechtler, MD, FAAN, FEAN, FASN, FAHS - Imaging & Testing
Artificial Intelligence in Clinical Neurology: Opportunities, Limitations, and the Path Forward
Aysha Jadran, MD; Saqib A. Chaudhry, MDAysha Jadran, MD; Saqib A. Chaudhry, MD - Epilepsy & Seizures
Utility of Stereoelectroencephalography in the Treatment of Drug-Resistant Epilepsy
S. Katie Z. Ihnen, MD, PhD; Ravindra Arya, MD, DMS. Katie Z. Ihnen, MD, PhD; Ravindra Arya, MD, DM






