Return of Auras Following Treatment of Focal-Onset Seizures with Responsive Neurostimulation
DL, a 53-year-old, right-handed man with treatment-resistant focal epilepsy, presented with a return of episodes characterized by head pressure lasting 5 to 10 seconds preceding his known seizures. He reported that these auras had occurred previously but had been absent for at least 3 years. He reported a baseline frequency of 55 to 80 seizures per month, with 80 seizures per month established as the baseline 3 months before implantation of a responsive neurostimulator (RNS). The majority of his events consisted of focal seizures, but some were generalized tonic-clonic seizures with no associated auras.
History
DL began experiencing seizures at age 22, with known clinical semiologies characterized by staring and unresponsiveness with a duration of 1 to 3 minutes; ictal cry followed by the figure 4 sign, where the left arm is extended with clonic movements on the right and bicycling for 2 to 3 minutes; and generalized tonic-clonic activity, typically lasting less than 5 minutes. Previously failed appropriately dosed antiseizure medications included topiramate, levetiracetam, lamotrigine, zonisamide, valproic acid, phenytoin, carbamazepine, rufinamide, perampanel, eslicarbazepine, lacosamide, acetazolamide, phenobarbital, oxcarbazepine, tiagabine, and pregabalin. Seizures also continued despite treatment with a vagal nerve stimulator and modified Atkins diet.
Diagnostic Process
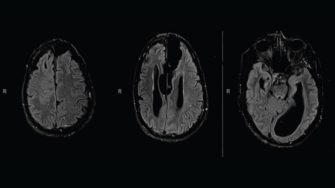
In preparation for advanced treatment with either surgery or a device, brain imaging and seizure localization with invasive EEG monitoring were obtained at age 52. MRI of the brain with and without contrast had grossly abnormal results (Figure 1), showing agenesis of the corpus callosum, arachnoid cyst, heterotopic gray matter and pachygyria of the right frontal lobe, right transmantle dysplasia, colpocephaly, and enlarged anterior commissure. Characterization of seizures during DL’s hospitalization for invasive EEG monitoring localized seizure onset to the right frontal and bitemporal head regions.

Case Resolution
Treatment
Because of the structural brain abnormalities and multiple regions of seizure onset, DL was determined to be a poor candidate for surgical resection. In addition, callosotomy was contraindicated, because of his past medical history (PMH) of agenesis of the corpus callosum. PET interpretation was limited because of the patient’s multiple brain abnormalities. RNS for seizure management was therefore implanted 2 months after completion of the MRI and invasive EEG monitoring. Electrocorticograms from RNS showed different patterns of detection and propagation correlated with the clinical behavior, including staring and unresponsiveness (Figure 2A), right arm clonic movements (Figure 2B), and generalized tonic-clonic activity (Figure 2C). Patients are instructed to swipe a magnet over the device when experiencing clinical behaviors of concern, which saves data surrounding the event for further review at their clinic visit. DL swiped the magnet marking the clinical behavior of concern: 5 to 10 seconds of head pressure, signifying consistency with his prior aura (Figure 2D). Figure 3 corresponds to the same clinical behavior with detailed views of seizure detection and onset.


Outcome
With RNS treatment over 15 months, seizure control improved in terms of frequency, duration, and severity. DL had 134 seizures in a 3-month period, consisting of 31 focal-onset seizures without loss of awareness lasting 10 to 20 seconds, 93 focal seizures with loss of awareness, and 10 generalized tonic-clonic seizures. In addition, DL reported a return of his previous aura of head pressure lasting 5 to 10 seconds, which was absent for approximately 4 years before RNS treatment. There were 18 aura events where he only experienced head pressure at that follow-up visit.
Discussion
RNS System Requirements and Function
The RNS system records the electrical activity of the patient’s seizure pattern, providing long-term, comprehensive information on electrographic activity in the brain.1 The information is then transferred by the patient to a secure database for the health care provider’s review. To qualify for RNS treatment, patients must meet the following criteria: 18 years or older, diagnosis of focal seizures with 1 or 2 foci, average of 3 or more disabling seizures per month in the previous 3 months, have seizures that are refractory to antiepileptic drugs, are not surgical candidates for focal resection, and have no contraindications for RNS.1
RNS Study Outcomes
The RNS System Pivotal Study was performed to establish the validity and safety of the device. To this end, patients were treated initially with RNS devices for 2 years and then followed for an additional 7 years to measure long-term metrics of efficacy. After 9 years of follow-up, 73% of patients achieved greater than 50% seizure reduction, with 35% achieving 90% reduction in the 6 months preceding the 9-year mark. In addition, 28% of patients achieved at least one 6-month period of seizure freedom. After 1 to 2 years of treatment, patients reported significantly improved quality of life measures, in areas including seizure worry, language, memory, and energy.2
Further research was conducted to analyze real-world patient outcomes. In the real-world analysis study follow-up, after 1 year patients had a median seizure reduction rate of 67%.3 At 2 years, this number increased to 75%. At 3 years, it improved further to 82%. Overall, 35% of the patients followed had a greater than 90% reduction in seizure frequency. In addition, 18% of patients reported clinical seizure freedom at their last follow-up.3 Overall, these individuals achieved reduction of seizure frequency and severity in a shorter period when compared with those included in the pivotal study.
After 15 months of RNS treatment, DL has experienced approximately a 55% reduction in seizures. In the clinical trial, 4 leads could be implanted for RNS treatment while restricting stimulation to 2. In DL, RNS treatment involved stimulation of 2 anatomic areas (the bitemporal head regions) even though 3 foci of seizure activity were identified in DL. Treating 2 foci aligns with trial guidelines.2,3 The reduction in seizure severity and frequency seen in DL over the course of treatment corresponds with results seen elsewhere in clinical and real-world studies.2,3
Importance of Auras
Auras often are the first indicator of seizure and can have localizing value depending on the associated symptoms.4 Auras are focal aware seizures, at times remaining local within the symptomatogenic zone or progressing to other brain regions. Auras also may be beneficial for people with epilepsy because they offer an important warning sign for possible further seizure activity. This can give the individual time to reach physical safety to prevent bodily injury.5 DL’s aura included head pressure preceding loss of responsiveness and interaction. DL had 4 years without auras, which later returned after RNS implantation, providing him a cautionary signal of ictal activity. Thus, he was able to put himself into safety, specifically sitting down and preparing for seizure progression. In the literature, there is little evidence of how neuromodulation may contribute to the recurrence of auras. However, it is possible that electrical stimulation resulted in prolonged activation of the ictal symptomatogenic zone, thus delaying the quick propagation to deeper structures or spread to the contralateral hemisphere.
Conclusion
A 57-year-old man with a history of medication-refractory epilepsy, as well as complex structural neurologic malformations such as agenesis of the corpus callosum, arachnoid cyst, heterotopic gray matter and pachygyria of the right frontal lobe, right transmantle dysplasia, colpocephaly, and enlarged anterior commissure, was determined to be a candidate for RNS treatment. Fifteen months after RNS treatment, he experienced a 50% reduction in seizure frequency as well as a return of aura, which had been absent for the previous 4 years.
Clinical Gems
- After 9-year follow-up, 73% of patients with RNS treatment achieved greater than 50% seizure reduction, with 35% achieving 90% reduction in the 6 months preceding the 9-year mark.
- Fifteen months after RNS treatment, our patient experienced a 55% reduction in seizure frequency and a return of his aura, which previously was absent for 4 years. A subset of patients who have received surgery will continue to have auras.6
- Auras may be beneficial because they provide individuals with vital warning signs for impending seizures, allowing them time to get to physical safety. In addition, auras may give providers insight into location of seizure origin (for example, the type of aura [eg, abdominal, auditory, affective, visual, olfactory] can suggest which area of the brain has epileptogenic activity).
Ready to Claim Your Credits?
You have attempts to pass this post-test. Take your time and review carefully before submitting.
Good luck!
Recommended
- Imaging & Testing
Neuroimaging: Clinical Impact of Imaging Findings
Laszlo Mechtler, MD, FAAN, FEAN, FASN, FAHSLaszlo Mechtler, MD, FAAN, FEAN, FASN, FAHS - Imaging & Testing
Practical MRI in Neurology: Use Cases, Technologies, and Opportunities for Outpatient Clinics
Joseph Fritz, PhD; Edmond A. Knopp, MD, DABR, FASFNRJoseph Fritz, PhD; Edmond A. Knopp, MD, DABR, FASFNR - Epilepsy & Seizures
Utility of Stereoelectroencephalography in the Treatment of Drug-Resistant Epilepsy
S. Katie Z. Ihnen, MD, PhD; Ravindra Arya, MD, DMS. Katie Z. Ihnen, MD, PhD; Ravindra Arya, MD, DM






