Neurologic Complications of Globally Prevalent Infectious Disorders: A Focus on Syphilis, Cysticercosis, and Tuberculosis
Although the prevalence of central nervous system (CNS) infections varies significantly based on geography, seasonality, and socioeconomic status, CNS infections remain a significant cause of morbidity and mortality worldwide, especially in cases of delayed or missed diagnosis.
Syphilis, cysticercosis, and tuberculosis are some of the most prevalent infections worldwide, all of which can extend to the CNS, whether as a delayed result of known systemic infection or as a first manifestation. This can create a diagnostic challenge in some cases despite recent advances in imaging quality and molecular testing. Early recognition and treatment of these conditions are imperative to prevent debilitating neurological sequelae such as seizures, infarcts, cognitive impairment, and various other focal deficits. Neurologists should continue to have a high index of suspicion for these conditions, especially among vulnerable populations such as persons from certain endemic areas and individuals with HIV and Acquired Immunodeficiency Syndrome (HIV/AIDS) and other immunocompromising conditions.
Neurosyphilis
Syphilis is a sexually transmitted disease caused by infection with the spirochete Treponema pallidum, which has become increasingly prevalent in the United States over the past 20 years: per Centers for Disease Control and Prevention (CDC) data in 2022, cases have reached an all-time high since 1950.1 Clinical presentations of syphilis are highly variable and may affect almost any organ system; hence, recognition of its key manifestations is critical. Risk factors for syphilis infection include HIV coinfection, which can double one’s likelihood of acquiring neurosyphilis compared to persons living without HIV,2 and intravenous drug use. Higher rates of syphilis are also seen in men who have sex with men (MSM),3 although there has been a notable increase in syphilis among heterosexual men and women since 2012 as well as a marked rise in cases of congenital syphilis.4
Syphilis evolves into 3 stages of infection:
1. Primary syphilis refers to chancre development, which is an ulcerated painless genital lesion, occurring approximately 3 weeks after infection.
2. Secondary syphilis occurs with spirochete dissemination over the next several weeks following primary syphilis and is associated with a maculopapular rash and constitutional symptoms such as fever and lymphadenopathy. The infection then enters a dormant phase, also known as latent syphilis during which patients are asymptomatic but remain positive on serological testing.
3. Tertiary syphilis occurs years later and may involve any organ system.5
Neurologic complications secondary to syphilis occur in 1% to 3% of all cases4 and can occur at any stage of infection.
T. pallidum can invade the CNS within hours to days after primary infection4 and may cause an asymptomatic cerebrospinal fluid (CSF) pleocytosis, called asymptomatic syphilitic meningitis. However, screening with lumbar puncture (LP) in patients with systemic syphilis but no neurologic symptoms is not recommended, nor is LP indicated for patients with ocular or otic symptoms alone.3,4,6 Ocular syphilis and otosyphilis are considered distinct entities from neurosyphilis and will not be discussed here; the reader may refer to these review articles for further discussion.7,8
Clinical Manifestations
Early symptomatic neurosyphilis refers to neurologic symptoms that manifest in the first few months to years of primary infection. The most common manifestations of early symptomatic neurosyphilis are aseptic meningitis and meningovascular syphilis. Symptomatic syphilitic meningitis presents subacutely with headache, meningismus and, in some cases, cranial neuropathies (most commonly affecting cranial nerves II, VII and VIII).9,10 Focal deficits may also arise from gummas, which are inflammatory mass lesions originating from the leptomeninges. Meningeal syphilis can also extend into the spinal cord leading to a meningomyelitis or can cause an infectious arteritis of the small and medium-sized vessels in the CNS leading to meningovasculitis and strokes, most commonly in the middle cerebral artery territory.4 Meningovascular syphilis should be considered in all young patients presenting with new stroke, and is often distinguishable from other causes of stroke due to presence of prodromal symptoms including headache, dizziness, vertigo, and personality changes in the days or weeks leading up to the ischemic event.10,11
Late symptomatic neurosyphilis evolves decades after the primary infection and is also called tertiary syphilis. Though late symptomatic neurosyphilis has become less common in geographic regions with easy and consistent access to penicillin, it can still be seen in regions or populations with limited access to syphilis diagnostic testing and treatment. The 2 classical manifestations of tertiary syphilis include 1) general paresis, a progressive dementia with psychiatric symptoms, delusions and personality change, and 2) tabes dorsalis, a disease of the posterior column of the spinal cord characterized by sensory gait ataxia, lancinating back pains, and Argyll Robertson pupils (which contract to accommodation but not in response to light).2
Diagnosis
Diagnosis of neurosyphilis requires a combination of clinical suspicion, imaging findings, serology, and CSF testing. Blood and CSF syphilis tests are divided into nontreponemal testing (Venereal Disease Research Laboratory [VDRL] or rapid plasma regain [RPR]) and treponemal testing (fluorescent treponema-antibody absorption [FTA-ABS], treponema pallidum hemagglutination assay [TPHA] and others). Nontreponemal tests are reported as a titer, which will peak during early infection and decline with time, regardless of treatment, though treatment will hasten the pace of decline.4 Treponemal assay results are reported as a binary reactive or nonreactive and tend to remain positive for the rest of the patient’s lifespan even after treatment.2,4 Traditionally, laboratories have performed a nontreponemal test first followed by a treponemal confirmatory assay; however, with improvements in treponemal testing, some laboratories now use treponemal assays as the initial screening test (“reverse screening”).
All patients with a diagnosis of neurosyphilis should have current or past evidence of systemic syphilis infection on serum testing.9 In a patient with confirmed systemic syphilis and neurologic symptoms, LP should be performed. In patients without HIV, a CSF white blood count > 5 cells/mm3 or a reactive CSF-VDRL is considered consistent with neurosyphilis and warrants treatment. In people with HIV, screening and diagnostic testing for neurosyphilis is more nuanced and is out of the scope of this review.12,13 CSF VDRL testing, while very specific, has a sensitivity of only 30% to 70%.2,6 Thus, the CDC suggests consideration of CSF FTA-ABS in patients with negative CSF-VDRL but high clinical suspicion or unexplained CSF pleocytosis, as this test is highly sensitive (though less specific).6
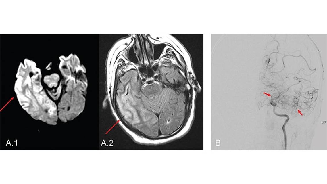
CSF diagnostics in early symptomatic syphilis are typically more abnormal than in asymptomatic meningitis or tertiary neurosyphilis, with a lymphocytic pleocytosis often in excess of 200 cells/mm3 and elevated protein up to 100 to 200 mg/dL3. In tertiary neurosyphilis, the lymphocytic pleocytosis is on a smaller scale between 10 to 75 cells/mm3 and protein levels typically less than 100 mg/dL3, although CSF may also be normal.9 MRI brain imaging findings in neurosyphilis are also variable and may include evidence of infarct or vasculitis, brain atrophy, white matter demyelination and even enhancement in the unilateral or bilateral temporal lobes reminiscent of HSV encephalitis9 (Figure 1). One imaging pattern particularly suggestive of neurosyphilis is the presence of cerebral gummas, which are typically T1-hypointense and T2-iso- or hyperintense, homogenously-enhancing, well-demarcated, and pial-based lesions with or without surrounding edema.9

Treatment and Follow-up
The CDC-recommended treatment for neurosyphilis consists of IV aqueous crystalline penicillin G at doses of 18 to 24 million units per day for 10 to 14 days. This is typically divided into doses of 3 to 4 million units every 4 hours or as a continuous infusion for the total duration. Patients should be counseled on the possibility of the Jarisch-Herxheimer reaction, consisting of fevers, myalgias, rash, and headache which typically occurs within the first 24 hours of treatment.6
Previously, serial CSF monitoring was recommended to ensure resolution of abnormalities; however, in immunocompetent patients (including persons living with HIV [PLWH] on effective antiretroviral therapy), normalization of RPR typically mirrors resolution of CSF abnormalities. Therefore, if RPR titers decrease appropriately and patients improve clinically, repeat CSF testing is not routinely needed.6
Neurocysticercosis
Neurocysticercosis (NCC), caused by Taenia solium, is the most common helminthic neurological infection in the world, a major cause of acquired epilepsy in developing countries, and responsible for 2% of seizure-related emergency visits in the United States.14 NCC is mainly endemic to Latin America, sub-Saharan Africa, and large regions of Asia, but it has also spread to North America and Europe with an increase in immigrating populations.14 Pigs act as the intermediate host for NCC, with T. solium eggs developing into cysts in the muscle and infecting humans after ingestion of undercooked pork. Humans act as both intermediate and definitive hosts of T. solium; after ingestion, the adult tapeworm can live in the intestines and shed eggs into the stool leading to autoinfection or infection of others through contaminated food or water. After infection, T. solium eggs transform into oncospheres which can disseminate throughout the human body, including the CNS. Cysts in the CNS can remain viable for years or decades but eventually degenerate and collapse leading to resolution or calcification.14,15
Clinical Manifestations
The most common presenting symptom for NCC is seizure, although other symptoms, including headache, focal neurologic deficits, encephalopathy, and infarcts, can occur and may vary based on the size, number, and location of cysts. Parenchymal cysts are the most common manifestation of NCC, although extraparenchymal cysts may also be found in the subarachnoid space of the ventricles (also called “racemose NCC”), and can lead to obstruction of CSF flow and secondary intracranial hypertension, which is associated with a worse prognosis.16 Rarely, meningitis or encephalitis can occur secondary to NCC. Patients usually present with altered mental status, seizures, and increased intracranial pressure secondary to high burden of parenchymal disease.17
Diagnosis
Most providers rely mainly on clinical presentation, including potential exposure factors and neuroimaging to establish the diagnosis. Both CT and MRI are useful imaging modalities to evaluate potential cases of NCC.14 Live cysts can be evaluated on both noncontrast CT and on MRI; a cyst with a visible scolex inside indicates a live tapeworm and provides strong diagnostic evidence of NCC. CT overall is superior for evaluating old, calcified cysts, and MRI is more useful in evaluating intraventricular, cisternal, and spinal cord cysts, as well as for cyst staging. Typically, live cysts are non-enhancing, small, and round, filled with fluid of CSF consistency, with little surrounding edema. Live cysts are often best seen on diffusion-weighted imaging.14 This is in contrast to degenerating cysts, which are characterized by poorly defined borders, ring-like or nodular enhancement, and associated edema. Over time, the NCC cyst collapses, leading to gliosis and calcification17 (Figure 2).

CSF abnormalities in NCC, when present, are nonspecific and are more frequently present in active ventricular or subarachnoid NCC. Typically a pleocytosis (<300 cells/mm3), mild protein elevation, and, in some cases, low glucose levels are seen.17
Serum enzyme-linked immunoelectrotransfer blot assay (EITB) testing for antibodies against T. solium has up to a 98% sensitivity in patients with 2 or more live parasites in the CNS, although this sensitivity decreases to 50% to 60% in patients with only a single intracranial cyst.14 CSF evaluation is not required for diagnosis of NCC. Although CSF antibody testing may be available at tertiary centers, the sensitivity of this test is lower than for serum testing. Enzyme-linked immunosorbent assays (ELISA) are also available to detect T. solium antibodies but are typically only used when EITB is not available due to lower overall sensitivity and potential for cross-reactivity with other helminthic infections.14 Parasitic antigens detection assays may also be used, especially with extraparenchymal NCC, to monitor response to treatment as titers typically turn negative with the disappearance of viable cysts.17
Treatment
Treatment for people with NCC should first focus on stabilization of any life-threatening or emergent symptoms if present, including seizures or status epilepticus with antiseizure medications and intracranial hypertension or hydrocephalus with surgical interventions such as shunt placement.15 Cysticidal therapy should only be used for live or degenerating cysts as there is no evidence for use in fully calcified cysts.15 It is also contraindicated in cysticercotic encephalitis as the subsequent inflammatory response may precipitate hydrocephalus.15,16 First-line therapy for parenchymal NCC includes albendazole +/- praziquantel based on the number of cysts present with a treatment duration of 3 to 7 days for a solitary cyst and up to 10 to 14 days for multiple cysts.14,17 For extraparenchymal NCC, experts recommend a longer duration of treatment of 1 to 3 months then reassessment of treatment response with clinical, radiographic and repeat CSF biomarker testing such as antigen detection.17
Due to the high risk for an inflammatory response to treatment, corticosteroids (oral prednisone or dexamethasone) should be administered at least 1 day prior to antiparasitic therapy and should be continued for the duration of treatment. Once treatment with antiparasitics is complete, a steroid taper can be completed, with the rate of tapering usually dependent on the length of antiparasitic treatment.14,15
CNS Tuberculosis
Tuberculosis (TB) is caused by Mycobacterium tuberculosis, and in 2022 was the world’s second leading cause of death from a single infectious agent, after coronavirus disease (COVID-19). TB has caused almost twice as many deaths as HIV/AIDS, with an estimate of more than 10 million people contracting TB per year worldwide.18 Factors that increase the risk of TB exposure in the United States include travel to and from countries with high burden of TB such as sub-Saharan Africa and Southeast Asia, working in healthcare, incarceration, homelessness, food insecurity, and HIV coinfection, among others.18 Due to its high worldwide prevalence, clinicians should maintain a high index of suspicion for this potentially devastating infection in vulnerable populations as mortality rates in patients hospitalized with CNS TB can reach up to 40%.19,20
Clinical Manifestations
Neurologic complications of TB are most commonly caused by hematogenous spread of the bacteria into the CNS and include 3 main categories: 1) tuberculous meningitis (TBM), 2) tuberculomas, and 3) spinal tuberculous arachnoiditis. In endemic regions, 3 three forms are seen equally, whereas in the United States, TBM is most common, usually seen in older adults as a result of reactivation of latent TB.19 TBM usually presents subacutely with headache, low-grade fevers, meningismus, and cranial neuropathies due to its proclivity to the basal cisterns. It can then lead to severe encephalopathy and eventually coma and death as soon as 5 to 8 weeks after symptom onset.19 Secondary complications of TBM can include seizures, stroke secondary to necrotizing arteritis and hypercoagulable state, and obstructive hydrocephalus.
CNS tuberculomas occur due to hematogenous dissemination of mycobacteria within the CNS leading to the development of caseating granulomatous lesions, which may then grow into large encapsulated mass lesions, particularly in immunocompromised patients and PLWH.21 Mass effect from CNS tuberculomas can lead to focal neurologic deficits, seizures, and increased intracranial pressure. Tuberculomas can be seen concurrently with TBM or can lead to secondary meningitis following rupture into the subarachnoid space or ventricles.
The most common spinal manifestations of TB include spondylitis, also known as Pott disease, intradural infection including radiculitis, myelitis, intramedullary tuberculomas, and spinal arachnoiditis. Nearly 50% of patients with TBM have concomitant spinal cord and nerve root involvement, which can lead to subarachnoid obstruction and syrinx formation.22
Diagnosis
Definitive diagnosis of CNS TB can be challenging due to the fastidious nature of M. tuberculosis. When suspected, evaluation for signs of pulmonary TB with chest radiograph or CT of the chest should be performed along with a tuberculin skin test (TST) or serum interferon-gamma release assay test when available, though the latter two tests cannot distinguish between latent and active TB.23 In a patient with known or suspected systemic TB and neurologic symptoms, MRI brain with contrast and LP should be performed. On MRI brain scans, TBM typically involves the basilar cisterns, leading to enhancement of the meninges at the skull base.19 Tuberculomas classically appear as ring-enhancing lesions with central areas of hypointensity on T2-weighted images19,21 (Figure 3).

CSF studies are often nonspecific and include elevated opening pressure, elevated protein, mononuclear pleocytosis (usually between 100-500 cells/mm3), and decreased glucose levels. In cases of spinal arachnoiditis, protein levels can reach the range of 2 to 6 g/L.19,22 Of note, CSF may be normal in the setting of isolated and well encapsulated tuberculomas.21 Definitive diagnosis of CNS TB involves the identification of tubercular organisms on CSF acid-fast stain and culture, though organisms may not be apparent on the first sampling of CSF and may require repeated lumbar punctures for analysis. Nucleic acid-based amplification assays such as Xpert MTB/RIF and Xpert MTB/RIF Ultra are highly specific but have varying sensitivities. Based on a systematic review from 2019, CSF Xpert pooled sensitivity and specificity against CSF culture were 71.1% and 98.0% , respectively.24 Therefore, the WHO recommends use of CSF Xpert MTB/RIF or Xpert Ultra in adults and children with suspected CNS TB as an initial diagnostic test, where available.25
Treatment
Treatment of suspected CNS TB should not be delayed even in the absence of a definitive diagnosis given clear evidence for increased morbidity and mortality with delayed treatment, even by the order of days.26 Treatment of CNS TB is the same as for systemic TB: a four-drug RIPE regimen (rifampin, isoniazid, pyrazinamide, ethambutol) for 2 months followed by isoniazid and rifampin for 7 to 10 months. Isoniazid should be taken concurrently with pyridoxine (25-50 mg daily) to prevent vitamin B6 deficiency.19 In addition to antimicrobial therapy, use of adjunct corticosteroids may confer survival benefit, although there is no clear consensus about optimal corticosteroid agents, dosing, and length of treatment. The benefits of corticosteroid therapy also seem to be less clear in people with concomitant HIV.19,27 The WHO recommends 6 to 8 weeks of adjunctive dexamethasone or prednisolone in patients with tuberculous meningitis,28 with initial IV dosing for 4 weeks followed by an oral taper over 4 weeks.29
In as many as one third of cases, patients with CNS TB may initially improve after antibiotic therapy but later develop an acute worsening of symptoms with or without new CNS TB lesions on imaging. This paradoxical reaction is thought to be due to an immune-mediated response to mycobacterial antigens and is commonly treated with high-dose corticosteroids. Refractory cases may require treatment with steroid-sparing agents such as tumor necrosis factor alpha inhibitors.30
Conclusion
Clinicians should maintain a high index of suspicion for globally prevalent infectious diseases including neurosyphilis, neurocysticercosis, and CNS tuberculosis, which can have diverse neurologic manifestations. Due to the complex nature of these infections, clinicians should rely on a combination of clinical acumen, imaging, and serum and CSF studies for diagnosis. When clinical suspicion is high, empiric treatment should be administered given the high risk of neurologic morbidity and mortality with delayed treatment.
Ready to Claim Your Credits?
You have attempts to pass this post-test. Take your time and review carefully before submitting.
Good luck!
Recommended
- Epilepsy & Seizures
Utility of Stereoelectroencephalography in the Treatment of Drug-Resistant Epilepsy
S. Katie Z. Ihnen, MD, PhD; Ravindra Arya, MD, DMS. Katie Z. Ihnen, MD, PhD; Ravindra Arya, MD, DM - Epilepsy & Seizures
Pharmacology of Emerging Selective Sodium Channel Antagonists for the Treatment of Epilepsy
Raman Sankar, MD, PhD, FAAN, FAESRaman Sankar, MD, PhD, FAAN, FAES - Epilepsy & Seizures
Innovations in Less-Invasive Epilepsy Surgery
Ryan Gallagher, MD; Aria Fallah, MD, MS, MBARyan Gallagher, MD; Aria Fallah, MD, MS, MBA






