Innovations in Less-Invasive Epilepsy Surgery
Recent developments in epilepsy surgery underscore a growing trend toward reduced invasiveness and expanded clinical indications.
Epilepsy affects 0.7% of the population or >50 million people worldwide and is associated with substantial morbidity and mortality rates.1 Drug-resistant epilepsy (DRE), identified by failure of 2 appropriate medication trials to control seizures, is present in up to one-third of people with epilepsy.2 Consensus guidelines recommend that individuals with DRE, as well as individuals controlled on medications with a brain lesion in the noneloquent cortex, be referred for surgical evaluation, given the potential for surgery to cure or reduce seizure burden.3
Open resective surgery, the mainstay of treatment, results in long-term, complete seizure freedom in >50% to 80% of well-selected individuals.4,5 Those most likely to respond favorably have focal-onset seizures from noneloquent locations. However, innovations in diagnostic and therapeutic options are leading to improved outcomes for individuals without obviously focal seizures, with no lesions apparent on MRI, or with involved eloquent structures. Despite the proven benefit of epilepsy surgery, underreferral and underutilization continue. We review recent advancements in epilepsy surgery, highlighting the trend toward minimizing invasiveness and expanding indications, and reiterate the importance of early referral to centers specializing in epilepsy surgery.
Phase I: Noninvasive Evaluation
Once referred to an epilepsy surgery center, individuals will undergo noninvasive testing aiming to identify a focal seizure source suitable for surgery.6 High-resolution MRI, neuropsychological testing, and epilepsy monitoring unit admission for long-term video-EEG monitoring are the standard of care. Additional testing may include [¹⁸F]fluorodeoxyglucose positron emission tomography, magnetoencephalography, and ictal single-photon emission CT to provide further evidence in localizing epileptogenicity. Functional MRI can be used to identify functional locations such as the motor, sensory, memory, and language cortex using blood oxygenation signals during specific tasks and is increasingly used to lateralize memory and language in place of Wada testing.7 Advancements in the noninvasive workup and localization process may spare individuals from invasive diagnostic testing and help clinicians tailor the optimal treatment plan for each person.
The goal of the noninvasive workup is to identify the epileptogenic zone and determine whether there is a safe and feasible location that can be removed or disconnected. Individuals whose single focal onset is identified and associated with a lesion on imaging that is safe to resect may proceed directly to therapeutic intervention. Those who have noninvasive data which are inconclusive, are discordant, or suggest seizure onset in eloquent cortex (ie, areas essential to motor, language, memory, visual, or sensory function) may undergo intracranial EEG to further evaluate the location and extent of seizure onset.
Phase II: Invasive Evaluation
Individuals whose noninvasive workup reveals discordant data; potentially multifocal, bilateral, or generalized seizure onset; or single onset adjacent to eloquent cortex may undergo intracranial EEG for more precise seizure localization and brain mapping. Traditionally, individuals underwent craniotomy to place subdural grid and strip electrodes (SDEs), with or without depth electrode placement. This may remain the favored strategy for individuals with suspected neocortical seizure onset, as SDEs delineate seizure onset with high spatial accuracy on cortex and enable functional mapping of critical areas such as those for language, motor, and sensory function.6,8 These same advantages support using cortical electrodes in awake intraoperative electrocorticography-guided resection.
Stereoelectroencephalography (SEEG)—developed in the late 1950s by Drs. Jean Talairach and Jean Bancaud at the Sainte-Anne Hospital in Paris, France—remained a niche European technique for decades. Over the past decade, robotic stereotaxy and modern imaging unlocked the speed, precision, and safety that many centers demanded, triggering a dramatic shift from subdural grids to SEEG. In SEEG, electrodes with multiple contacts are passed through small holes drilled into the skull to provide 3-dimensional (3D) spatial coverage of both deep and superficial targets, without the need for large craniotomies. This enables more systematic mapping throughout the brain volume, the ability to interrogate deeper lesions, and improved recording of bilateral structures.6,8–10 Correlating these high-resolution electrophysiologic data with 3D imaging and seizure semiology provides a deep understanding of each individual’s epileptogenic circuitry and guides the clinician in better tailoring treatment.
A meta-analysis demonstrated that SEEG has an advantageous safety profile, with fewer complications and shorter operative times than SDEs, while yielding similar seizure outcomes.11 The meta-analysis also showed that people undergoing SEEG underwent fewer resective surgeries than people with SDEs. This may reflect the temporal trend toward less-invasive therapeutic strategies (see Phase III: Therapeutic Intervention), or that a greater population of individuals undergoing SEEG includes those less likely to have lesional imaging or whose laterality is less certain and would not be good candidates for traditional grid implantation. Recent studies have applied radiofrequency stimulation through adjacent SEEG electrodes to perturbate networks or induce seizures and at higher energies to ablate tissue directly, demonstrating initial safety and efficacy in delineating and treating epileptogenic tissue.9,12 Whereas subdural electrodes remain the leading option to investigate suspected seizure onset from 2-dimensional neocortex, the less-invasive SEEG has become preferred to investigate deeper structures, bilateral hemispheres, and multifocal lesions as well as to capture a more 3D view of seizure onset. Multidisciplinary epilepsy surgery conferences—consult meetings including neurosurgeons, epileptologists, neuroradiologists, and neuropsychologists—can be convened to determine the optimal treatment strategy going forward based on intracranial data for each individual.
Phase III: Therapeutic Intervention
Advancements in the diagnostic workup pathway paralleled and have enabled a similar revolution in therapeutic interventions, leading to more personalized and less-invasive procedures.
Resection, Disconnection, and Ablation
As the traditional standard of care, open surgical resection provides a 50% to 80% chance of seizure freedom and a significant reduction in seizure frequency in those who do not achieve seizure freedom.4,5 Anterior temporal lobectomy, selective amygdalohippocampectomy, or lesionectomy remain the treatments of choice for focal epilepsies with concordant MRI lesional findings. For multilobar, multifocal, generalized, or syndromic cases, corpus callosotomy and hemispherectomy have also shown good seizure control and palliation ability.5,6,13,14
Increasingly used as a minimally invasive alternative, laser interstitial thermal therapy (LITT) provides targeted ablation by a laser fiber passed through a small twist drill hole under real-time MRI guidance. LITT can provide a similar chance of seizure freedom for lesional epilepsy without a large craniotomy, enabling surgical treatment as an outpatient procedure. As such, LITT reduces surgical risk, procedural time, and hospital stays, and has been shown to have favorable outcomes for memory and language compared with open resection.4,8 LITT has demonstrated particular efficacy in certain lesional epilepsies such as mesial temporal lobe sclerosis, cerebral cavernous malformations, and hypothalamic hamartomas (Figure 1)15 and has enabled corpus callosotomy to be performed by a series of laser ablations.9 Preliminary data for LITT, primarily for mesial temporal epilepsy, suggest that seizure control and freedom are slightly less often achieved and shorter-lasting than with open resection, and there is a need for high-quality evidence directly comparing the two.4,9 Nonetheless, LITT provides surgeons and individuals with a less-invasive ablative option for definitive seizure management.

Figure 1. Hypothalamic hamartoma treated with laser interstitial thermal therapy (LITT). A child aged 7 years who presented with 1 year of new generalized tonic-clonic seizures refractory to 2 medications and an occult history of 15-second giggling episodes almost daily since infancy was found to have a hypothalamic hamartoma (A and B). The decision was made to treat with LITT. Patient positioning in the Leksell frame is shown (C). A T2-weighted image demonstrates the course of the thermal laser wire (D). Immediate post-LITT imaging demonstrates T1 enhancement (E), diffusion restriction (F), and fluid-attenuated inversion recovery signal (G). A T1-weighted MRI scan taken 6 months after the procedure is shown (H). The individual has remained seizure-free and off antiseizure medications for >5 years of follow-up.
Less invasive than LITT, magnetic resonance–guided focused ultrasound (MRgFUS) applies transcranial ultrasound energy without the need for incisions or burr holes to ablate brain tissue. MRgFUS is approved by the Food and Drug Administration to treat essential tremor and tremor-dominant Parkinson disease, and preliminary data suggest safety and feasibility in treating epilepsy with further study ongoing.16 Although advancements in MRgFUS techniques and technology have minimized invasiveness and morbidity, resective and ablative surgery remain standard options to treat DRE. When these options are unsafe, unlikely to work, or fail, growing options are available to modulate the epileptic networks and reduce or eliminate seizure burden.
Neuromodulation
Neuromodulation reduces seizure frequency and severity by changing or interrupting seizure circuits with devices, foregoing the need for large craniotomies or tissue destruction. Vagus nerve stimulation (VNS), deep brain stimulation (DBS), and responsive neurostimulation (RNS) are all approved therapies for focal DRE. VNS is also approved for children aged ≥4 years with focal or generalized epilepsy or Lenox-Gastaut syndrome, and studies are underway to assess RNS in children as well as to identify novel targets for generalized epilepsies. All 3 modalities are increasingly used off-label for generalized epilepsies, multifocal epilepsies, and epilepsies refractory to other invasive options.17
VNS applies regular “open-loop” on-demand or tachycardia-responsive “closed-loop” stimulation to the vagus nerve in the neck and is hypothesized to act on upstream brainstem, thalamic, and cortical pathways to attenuate seizure burden.17 VNS has the advantage of offering an extracranial therapeutic option for people who are not candidates for intracranial surgery. Two randomized controlled trials measured the effect of high-intensity VNS compared with low-intensity or subtherapeutic VNS and demonstrated ~25% seizure reduction in the high-intensity arms at ~3 months and 15% and 5% in the low-intensity and subtherapeutic groups, respectively.18,19 Meta-analyses of observational data suggest the responder rate (ie, the percentage of individuals who report a decrease in seizure frequency of ≥50%) is ~42% with VNS, with a trend toward greater reduction with longer follow-up.20 The most common side effects are hoarseness, cough, and dyspnea.
Open-loop DBS provides electrical stimulation through electrodes most commonly implanted into the anterior nucleus of the thalamus (ANT) via small burr holes and is thought to modulate the Papez circuitry to attenuate seizures.17 The Stimulation of the Anterior Nucleus of the Thalamus for Epilepsy (SANTE; NCT00101933) trial provides the highest-quality evidence for DBS in treatment of epilepsy.21 This study enrolled 110 participants with DRE or partial seizures, all of whom received implantation of bilateral electrodes to the ANT.21 The participants were randomized so that half received stimulation and half received no stimulation during a 3-month double-blinded phase, after which time all participants received unblinded stimulation. The treatment arm reported a 40% reduction of seizures in the last month of the trial period compared with 15% in the control group. The responder rate to ANT-DBS was 54% at 2 years, 68% at 5 years, and 75% at 7 years (67.9% when accounting for loss of follow-up).20 The most common adverse events were paresthesias (18.2% of participants), implant site pain (10.9%), and site infection (9%). Eight percent of participants had leads replaced due to initial implantation outside the ANT. Psychiatric, sleep, memory, and cognitive disturbances have been variably reported and observed with DBS.17
Whereas ANT has the most evidence to date for DBS and demonstrates particular efficacy in partial seizures, emerging studies support stimulating the centromedian nucleus (CMN) of the thalamus, especially in individuals with generalized epilepsies such as Lennox-Gastaut syndrome. Meta-analyses report that CMN stimulation provides seizure reduction of ~70% with responder rates of ~60%.22,23 With similar outcomes for ANT-DBS in individuals with partial seizures, CMN stimulation is a growing option for epilepsies that have few resective or ablative options (Figure 2).

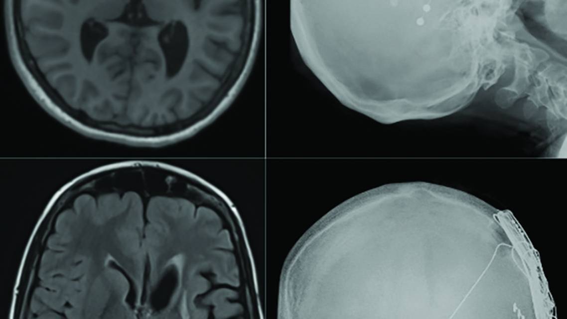
Figure 2. An individual aged 17 years developed right-sided weakness and complex partial seizures, was found on biopsy to have Rasmussen encephalitis, and was treated with corticothalamic responsive neurostimulation (RNS). SEEG implantation demonstrated multifocal onset seizures from the left hemisphere. RNS with 2 strip electrodes to the left frontal and temporal opercula and a depth electrode to the centromedian nucleus was performed. Stimulation to only the centromedian nucleus resulted in a reduction of seizures to 1 or 2 per day vs 3 or 4 per day before RNS. The T1 (A) and FLAIR (B) MRI images demonstrate left-sided volume loss consistent with Rasmussen encephalitis. Anteroposterior (C) and lateral (D) skull x-ray images demonstrate placement of left-sided RNS with 2 strip electrodes and 1 centromedian-depth electrode.
RNS is “closed-loop” in that the device’s electrodes record EEG signals to detect seizure activity and guide responsive stimulation. RNS can be applied via depth electrodes to deep structures or strip electrodes to the cortex; thus, unlike VNS or DBS, which only act to modulate networks, RNS can also target presumed epileptogenic tissue directly. This enables its use when the seizure onset zone location is known but not surgically safe to resect or ablate such as in dominant memory zones or cortex involved in language, memory, or sensation.
A pivotal RNS randomized controlled trial implanted 191 individuals with RNS in 1 or 2 seizure-generating areas and randomized half to stimulation and half to sham stimulation for 3 months before an open-label period in which all received stimulation. In the final month of randomization, the treatment arm reported a 42% reduction in seizure frequency compared with 9% in the randomized arm.24 The responder rate was 54.1% at 2 years, 55.6% at 5 years, and 72.8% at 9 years.20 The most common complications were implant site pain (15.7%), headache (10.5%), and dysesthesia (6.3%) by 1 year. Twelve percent of participants had an infection by 9 years of follow-up with half requiring implant removal. Indirect network modulation more so than direct seizure cessation is hypothesized to drive the lasting seizure improvement seen with RNS, and some evidence suggests that RNS is associated with memory and cognitive risk profiles which are superior to those associated with DBS.17
Comparison of these single-arm trials suggests that RNS and DBS may result in slightly superior and longer-lasting seizure control than VNS. However, no head-to-head trial exists to provide high-quality evidence, and differences in data gathering and the trial dates may skew these conclusions.4,17,20,25 These varied modalities and targets demonstrate efficacy and safety and can be used individually and in combination with other treatment strategies for a variety of cases; however, rigorous study is still needed to delineate the relative advantages of each and to optimize their application.
Conclusion
The landscape of epilepsy surgery has evolved, offering increasingly personalized and less-invasive treatment options for people with DRE. Whereas open resective surgery remains the gold standard for achieving seizure freedom in well-selected candidates, advances in noninvasive workup, intracranial monitoring techniques, minimally invasive ablative procedures, and neuromodulatory therapies have expanded surgical candidacy to a broader patient population, with growing evidence supporting efficacy and safety. Neuromodulation is increasingly used in cases refractory to surgery. Combinations of VNS with both RNS and DBS are increasingly being reported. Large-scale studies are needed to compare these treatments head-to-head and in their varied combinations to help refine and personalize decision-making in epilepsy surgery.
Despite these advancements, epilepsy surgery remains underused. Early referral to comprehensive epilepsy centers is crucial to ensure a timely and thorough evaluation, thereby allowing individuals access to the full range of diagnostic and therapeutic options. As innovations in epilepsy surgery continue to evolve, embracing multidisciplinary care and individualized, multimodality planning and treatment will be essential to improving outcomes and quality of life for people with DRE.
Ready to Claim Your Credits?
You have attempts to pass this post-test. Take your time and review carefully before submitting.
Good luck!
Recommended
- Epilepsy & Seizures
Utility of Stereoelectroencephalography in the Treatment of Drug-Resistant Epilepsy
S. Katie Z. Ihnen, MD, PhD; Ravindra Arya, MD, DMS. Katie Z. Ihnen, MD, PhD; Ravindra Arya, MD, DM - Epilepsy & Seizures
Pharmacologic Management of Behavioral Challenges and Psychiatric Comorbidities in People With Epilepsy
Lauren Waldron, MDLauren Waldron, MD - Epilepsy & Seizures
Immunotherapy for Management of Refractory and Super-Refractory Status Epilepticus
Mackenzie Silverman, MD; Deepti Nagesh, MDMackenzie Silverman, MD; Deepti Nagesh, MD






