Challenge Case Report: New Onset Seizures
There have been significant advancements in the molecular characterization of brain tumors.
Clinical Presentation
Mr L, age 51 and previously healthy, noticed transient numbness and tingling in his left arm. A few days later, he experienced a 10-second episode of left arm flailing, accompanied with a feeling of being “disconnected.” Immediately before this episode, Mr L had experienced lightheadedness, flushing, and a feeling of dread. He had not experienced any focal weakness, headaches, cognitive changes, or trauma leading up to this presentation.
Diagnostic Evaluation
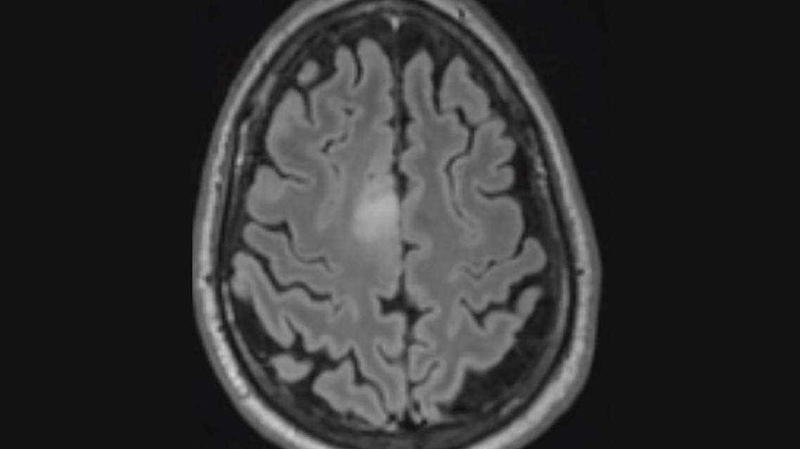
On neurologic examination, Mr L had diminished sensation to temperature in his right leg. Otherwise, sensation to light touch, temperature, and proprioception was intact in all extremities. The rest of the neurologic and cognitive examination was unremarkable. Brain MRI revealed a 1.4 x 1.5 cm right superior frontal gyrus lesion. The lesion was hyperintense on fluid-attenuated inversion recovery (FLAIR) imaging (Figure 1) and was not associated with any enhancement (Figure 2).


Pathology Findings
Mr L underwent an awake craniotomy with intraoperative sensory and motor mapping. Extensive resection was limited by tumor location within an eloquent brain area, evidenced by positive stimulation within the foot motor area. Sections from the biopsy revealed tumor cells with round nuclei and perinuclear halos. Most of the biopsy specimen was nonneoplastic, although, of the tumor cells present, the majority were positive for the isocitrate dehydrogenase (IDH) R132H allele and negative for neuronal nuclei protein (NeuN). Next generation sequencing revealed mutations in telomerase reverse transcriptase (TERT) and capicua transcriptional repressor (CIC) genes.
Follow-up
In the months following the surgery, Mr L experienced a frequent crawling sensation on his left arm and leg, which was exacerbated when he was hungry or exhausted, and improved with decreased caffeine intake. He also experienced a single breakthrough seizure while exercising, with similar semiology as the first seizure, leading to his diagnosis of brain tumor. For seizure prevention, Mr L was initially taking phenytoin and lamotrigine, with plans to wean phenytoin in anticipation of treatment.
Challenge Questions
1. What is the diagnosis?
A. Pleomorphic xanthoastrocytoma
B. Dysembryoplastic neuroepithelial tumor
C. Early high-grade glioma
D. Oligodendroglioma
E. Isocitrate dehydrogenase (IDH)-mutant astrocytoma
Click here for the answer
D, The radiographic appearance of a cortical-subcortical non-enhancing expansile fluid-attenuated inversion recovery (FLAIR) hyperintense lesion and the histologic description of “perinuclear halos” are most consistent with an oligodendroglioma.
2. Which of the following genetic findings would confirm the diagnosis?
A. 1p/19q chromosomal codeletion
B. Tumor protein p53 (TP53) mutation
C. Epidermal growth factor receptor (EGFR) mutation
D. Histone 3 (H3) K27M allele
Click here for the answer
A, 1p/19q, along with concurrent isocitrate dehydrogenase (IDH) mutation, are the key molecular findings associated with oligodendroglioma.
3. Based on mature randomized phase 3 data, which of the following treatment(s) improves survival?
A. Observation
B. Chemotherapy alone
C. Radiation followed by chemotherapy
D. Isocitrate dehydrogenase (IDH) inhibitor
E. Antivascular endothelial growth factor (VEGF) inhibitor
Click here for the answer
C, Data from the Radiation Therapy Oncology Group (RTOG) 9802 has demonstrated that radiation followed by procarbazine, lomustine, and vincristine chemotherapy (PCV), when compared with radiation alone, is associated with nearly double survival in patients with high-risk lower-grade glioma, such as Mr L. Observation (A) is a potential option in young patients with complete resection of tumor.
4. With maximal therapy, what is the estimated median survival of patients with this tumor?
A. 2 years
B. 5 years
C. 8 years
D. 13 years
Click here for the answer
D, Median survival with surgery followed by radiation and PCV chemotherapy is approximately 13 years.
5. Mr L’s antiseizure medication, phenytoin, was weaned for which of the following potential complications?
A. Exacerbation of nausea and vomiting
B. Increased clearance of chemotherapy
C. Pulmonary toxicity
D. Hepatotoxicity
Click here for the answer
B, Phenytoin is a cytochrome P450 enzyme inducer that can increase the clearance of chemotherapy. Nonenzyme-inducing antiseizure medications are recommended in people with brain tumors.
Ready to Claim Your Credits?
You have attempts to pass this post-test. Take your time and review carefully before submitting.
Good luck!
Recommended
- Imaging & Testing
Neuroimaging: Clinical Impact of Imaging Findings
Laszlo Mechtler, MD, FAAN, FEAN, FASN, FAHSLaszlo Mechtler, MD, FAAN, FEAN, FASN, FAHS - Imaging & Testing
Practical MRI in Neurology: Use Cases, Technologies, and Opportunities for Outpatient Clinics
Joseph Fritz, PhD; Edmond A. Knopp, MD, DABR, FASFNRJoseph Fritz, PhD; Edmond A. Knopp, MD, DABR, FASFNR - Epilepsy & Seizures
Utility of Stereoelectroencephalography in the Treatment of Drug-Resistant Epilepsy
S. Katie Z. Ihnen, MD, PhD; Ravindra Arya, MD, DMS. Katie Z. Ihnen, MD, PhD; Ravindra Arya, MD, DM






