Early-Onset Drug-Resistant Epilepsy Due to Gene Variants
Specific pathogenic variants are increasingly identified in individuals with epilepsy, particularly in those who are intellectually and developmentally disabled (IDD). Most genetic testing to date has focused on children presenting with early-onset epilepsy. Recent data, however, report the utility of genetic testing in adults as well. We report a case of cyclin-dependent kinase like 5 (CDKL5) deficiency disorder (CDD) diagnosed in adulthood that responded well to combination treatment with sodium valproate and lacosamide. CDD is a neurologic disorder characterized by severe early-onset epilepsy and associated with a spectrum of comorbidities, including cognitive or motor impairment. Drug-resistant epilepsy is a major clinical manifestation and, although there are no available treatment guidelines specific to CDD, there have been advances in treatment options, which we review here. Identification of specific pathogenic variants may help guide management decisions, even in adults. Future advances and collaborative reporting and investigation may lead to more targeted therapy options for individuals with epilepsy.
Epilepsy Due to Specific Pathogenic Variants
In case series reports, between 15% and 40% of children with early-onset epilepsy are found to have a specific genetic diagnosis.1-4 More recently, in adult case series reports, over 20% of individuals also have identifiable pathogenic variants.5,6 Although genetic testing is performed frequently in children, it is not yet routine in adults, even those with early-onset epilepsy. In this case report we describe a case of CDD, which is associated with epileptic encephalopathy and severe developmental delay caused by variations in the CDKL5 gene.7 This case report highlights typical features of this syndrome as well as the utility of genetic testing in individuals with epilepsy.
Discussion
CDD
In CDD, a CDKL5 mutation results in nonfunctional or absent CDKL5 protein that causes a wide array of symptoms and severity. Over 250 variants of pathogenic mutations in CDKL5 have been described in the literature, and more than 50% of cases are reported to be caused by point mutations, with missense mutations accounting for most cases.7,8
The CDKL5 gene is located on the short arm of the X chromosome (Xp22) and produces a CDKL5 protein found in the nucleus and cytoplasm. As seen with other X-linked disorders, CDD is 4 times more common in those who are X homozygotes, whereas people who are XY heterozygotes exhibit more severe forms of CDD.8
The CDKL5 protein is widely expressed throughout the body with the highest concentrations found in the brain, testicles, and thymus. Studies have shown CDKL5 levels fluctuate with stages of neonatal development, with the lowest concentrations in the prenatal period and highest levels in peri- and postnatal life. Although the exact role of CDKL5 is yet to be defined, it is clearly important in the normal development and maturation of the nervous system. Recent data show CDKL5 plays a critical role in synapse development as well as proliferation, migration, growth, and formation of neurons.8-10
Despite its rarity, CDD is one of the more common forms of genetic epilepsy, with an incidence rate of 1 in every 40,000 to 60,000 live births.8
Clinical Presentation
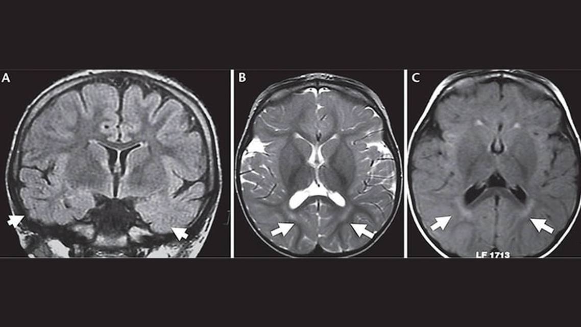
Many people with CDD present with early-onset, drug-resistant epilepsy, and severe global neurodevelopmental delays.7,9,11 Epileptic encephalopathy ranges from mild to severe forms, with severe forms being most common. The seizures associated with CDD are epileptic spasms in either the presence or absence of hypsarrhythmia, as well as tonic, myoclonic, generalized, or focal to bilateral tonic-clonic seizures. Generalized hypotonia, visual cortical blindness, and associated comorbidities have also been reported. Sleep disturbances, recurrent infections (respiratory and gastrointestinal), and severely impaired speech and gross motor function can occur.7,8 Notably, similar to typical Rett syndrome, most girls and women with CDKL5 variants have been observed to have hand stereotypies, as seen in Ms K.12 Also as in Ms K, brain MRI is typically abnormal, with cerebral atrophy and posterior white matter abnormalities reported in the majority (Figure).12

Management
As a complex disorder, CDD has no specific directed therapy yet, and most treatment modalities target symptomatic control. Among the wide range of symptoms that occur, seizure control confers the greatest therapeutic benefit. Seizures in CDD, however, are generally highly resistant to treatment with routine ASMs. The appropriate choice of ASM is based on the individual’s seizure types and varies significantly among individuals.
ASMs. Most individuals require combination therapy with more than 1 ASM. Many clinicians favor the use of broad-spectrum ASMs (eg, valproate, clobazam, topiramate and vigabatrin)7,13 owing to the frequently varied seizure types seen in people with CDD. A retrospective multicenter cohort study outlined a potential role for sodium channel blockers (SCBs) in the management of CDD-related epilepsy. In this study, 19 participants with CDKL5 deficiency presenting with epilepsy were using SCB treatments. Oxcarbazepine, carbamazepine, and lacosamide were used most commonly. A 50% of more reduction in seizure frequency was achieved by 6 of the 19 (31.6%) persons, and 4 had been seizure free for a mean 8 years.14 In another series of 39 people with CDD, however, it was found that some medications, particularly carbamazepine, could exacerbate seizures, and that felbamate may be useful in this population.15 An open-label study of prescription pharmaceutical cannabidiol (Epidiolex) reported a large decrease in seizure frequency from baseline in a subgroup of participants with CDD.16
In another published case, similar to that of Ms K,17 improvement in quality of life after a temporary cessation of seizures occurred during monotherapy with sodium valproate. The authors of the case report note, however, that this improvement could also potentially be attributed to an improvement in the natural course of the disease.
In a phase 3 trial, participants with CDD treated with ganaxolone (a GABAA receptor modulator) had a median 32.2% reduction in major motor seizures compared with only a 4% reduction with placebo, which was a statistically significant difference.18 The Food and Drug Administration (FDA) has granted a rare pediatric disease designation to ganaxolone for the treatment of CDD, which is available via an expanded access program for this indication from the manufacturer (marinuspharma.com).
Ketogenic Diet. As with other drug-resistant epilepsies, the ketogenic diet can also be a useful treatment option. A recent review found that children fed a ketogenic diet were up to 3 times more likely to achieve seizure freedom and 6 times more likely to achieve a 50% or more reduction in seizure frequency.19 In a series of 104 individuals with CDD who ate a ketogenic diet for a median 17 months, 58.7% had significantly reduced seizure frequency.20 There have, however, been varied rates of efficacy reported in the literature, and the ketogenic diet may not have long-term efficacy.7
VNS. Seizure reduction with VNS has been seen in several drug-resistant epilepsies, including CDD. In a case series of 38 people with CDD, 69% of those treated with VNS had significant seizure reduction.7 In a smaller case series, 5 of 6 individuals with CDD reported a good response to VNS.21 Additional possible benefits with VNS in this population are improved mood and behavior.21
Genetic Testing
For Ms K, seizure control improved before the specific genetic syndrome responsible for her seizures was identified. However, in rarely reported conditions, such as CDD, collective reporting of individual responses to specific ASMs may lead to the identification of useful treatment options. More importantly, understanding the functional effects of some pathogenic variants can lead to development of specific treatment options as well as identification of medications that may exacerbate the condition. For example, individuals with SCN1A variations (often seen in Dravet syndrome) have loss of function in that sodium channel, and SCBs may worsen the condition. In contrast, in conditions associated with gain of function, SCBs may improve seizure control (eg, SCN2A variations in some people with Ohtahara syndrome). In many cases, identification of a pathogenic variant can directly result in a treatment change that results in improved seizure control.6 Information from genetic testing may also guide family planning and lead to psychologic benefits, as for Ms K’s family. Such knowledge has been reported to improve parental quality of life and increase both patient and parental empowerment.22,23
Conclusion
CDKL5-related epilepsy typically causes highly refractory epilepsy with seizure control posing considerable challenges to providers. Most patients require multiple pharmacologic agents to achieve symptomatic control. Broad-spectrum ASMsmay be particularly helpful. This case highlights the utility of genetic testing in understanding and reporting ASM response, as well as the potentially beneficial psychologic impact on the patient and family. Future research will likely lead to increasingly tailored treatment options for genetic forms of epilepsy.
Ready to Claim Your Credits?
You have attempts to pass this post-test. Take your time and review carefully before submitting.
Good luck!
Recommended
- Epilepsy & SeizuresEpilepsy Essentials: Practical Uses of EEG in the Operating Room Brin E. Freund, MD; William O. Tatum, DOBrin E. Freund, MD; William O. Tatum, DO
- Epilepsy & SeizuresAn Unusual Case of Adult-Onset Rapidly Progressive Leukoencephalopathy Associated With POLR3B-Related Sequence Variation Adriana Grau Chaves, MD; Buse Sengul, MDAdriana Grau Chaves, MD; Buse Sengul, MD
- Epilepsy & SeizuresPromising Results for Investigational Antisense Oligonucleotide Treatment for Dravet Syndrome Joseph Sullivan, MDJoseph Sullivan, MD






