Frontotemporal Dementias
Introduction
Frontotemporal dementia syndromes (FTD) are a family of neurodegenerative disorders defined by insidious onset and progressive changes in comportment, personality or language. Clinical subtypes include the behavioral variant of FTD (bvFTD); primary progressive aphasias (PPA), including the semantic (svPPA) and nonfluent agrammatic variants (nfaPPA); and motor neuron disease associated with FTD (FTD-MND). Corticobasal syndrome (CBS) and progressive supranuclear palsy (PSP) are tau-associated FTD-related conditions that often first present with behavior or language symptoms. Signs and symptoms of FTD phenotypes emerge as a result the specific patterns of brain networks affected by frontotemporal lobar degeneration (FTLD), a term that generally refers to underlying neuropathologic changes in genetically or pathologically confirmed FTD.
After Alzheimer’s disease (AD), FTD is the second most common neurodegenerative dementia with onset before age 65 (ie, early-onset dementia).1 There is general consensus that the prevalence of FTD is underestimated because of misdiagnosis or lack of recognition, primarily by nonneurologists. Approximately 20 per 100,000 persons aged 45 to 64 have FTD. Another 10% of FTD occurs before age 45, and 30% occurs after age 65.1 Both sexes are affected equally.1,2
Behavioral Variant Frontotemporal Dementia
Accounting for over 50% of patients with autopsy-confirmed FTLD,3 bvFTD manifests variable phenotypes of progressive disinhibition, loss of empathy, apathy, hyperorality, and perseverative or compulsive behaviors. An international consortium developed revised guidelines for diagnosis of bvFTD.4 The validation process retrospectively reviewed clinical records and compared the sensitivity of proposed and earlier criteria in a multisite sample of patients with pathologically verified FTLD. According to the revised criteria, “possible” bvFTD requires 3 of 6 clinically discriminating features (disinhibition, apathy/inertia, loss of sympathy/empathy, perseverative/compulsive behaviours, hyperorality, and dysexecutive neuropsychologic profile). People with symptoms consistent with bvFTD with normal structural or functional brain imaging are assigned a diagnosis of possible bvFTD, and satisfy diagnostic certainty for probable bvFTD when characteristic neuroimaging changes emerge.
Disinhibited behaviors in bvFTD may include unpreceden-ted disclosure of sensitive personal information to others; increasing sexual or derogatory comments, or inappropriate touching; loss of social decorum such as making off-color jokes or toilet humor; or new impulsive spending. Diminishing ability to detect suffering (emotional or physical) or humiliation signifies loss of empathy, and patients may seem indifferent to major loss (eg, death in the family or divorce) or serious illness or injury in close friends or family (eg, a new cancer diagnosis). Apathy initially characterized by loss of interest in hobbies or responsibilities may progress to spending hours sitting in place unengaged with the environment. Perseverative behaviors may include touching, counting, or collecting objects. Hyperorality manifests as increased consumption of sweets or carbohydrate-rich foods, spoiled foods, and nonfoods when sense of disgust is impaired. Some patients will take up or increase use of recreational substances. Prodromal or early symptomatic psychotic features may be present, particularly in those with C9ORF72 mutations,5 although aggression and violence are generally uncommon in people with FTD. Individuals with FTD almost always have impaired insight, and behaviors may lead to serious social, financial, or legal ramifications before a diagnosis is made. Compared with other common causes of dementia (ie, AD, dementia with Lewy bodies) seizures and EEG abnormalities are uncommon in FTD.
Reliance on collateral history, and subtle changes on neuroimaging can make diagnosis of bvFTD challenging. The term bvFTD phenocopy refers to cases in which caregivers report behaviors that fit diagnostic criteria for possible bvFTD, with the caveat that people with bvFTD phenocopy do not progress to develop objective behavioral, cognitive, or neuroimaging changes.6 These individuals have higher rates of mood disorders, substance abuse, and obsessive-compulsive or Asperger personality traits. Relationship factors with families or caregivers, or recent intense life events may contribute to observed or reported behaviors.7 A careful history is essential to elicit baseline personality traits, prior psychiatric diagnoses, and life events or interpersonal factors that can influence collateral reports of behavior.
Neurologic Examination
In early stage bvFTD, behavior may appear normal during limited observation time in the clinic. Evidence of apathy (eg, poor hygiene and unkempt appearance) or disinhibition (eg, attempting to embrace clinic staff) may be observed. Affect ranges from flat to childlike and jocular. Patients may be restless, or inert and lack spontaneous speech or movement entirely. Frontal release signs may be present but are not sensitive or specific for FTD.8 The remainder of the examination is typically normal, although a subset of individuals may demonstrate pyramidal, extrapyramidal, or oculomotor symptoms.
Neuropsychologic Testing
Executive dysfunction with relative sparing of temporolimbic episodic memory and lateral parietal visuospatial networks is typical in those with bvFTD who have dorsolateral prefrontal cortex involvement.9 Episodic memory deficits are increasingly recognized,10 however, and those with early-stage disease, ventromedial frontal, or right temporal predominant atrophy may perform well on executive tasks. Individuals with bvFTD often perform poorly on tasks of facial expression recognition (especially for negative emotions11) and show impairment in determining the mental state of others (eg, theory of mind tasks). Qualitative performance aspects during testing, including behaviors (eg, profanity on phonemic fluency tests) and error types (eg, failing to wait for instructions) may be more helpful than raw scores.12
Neuroimaging Characteristics
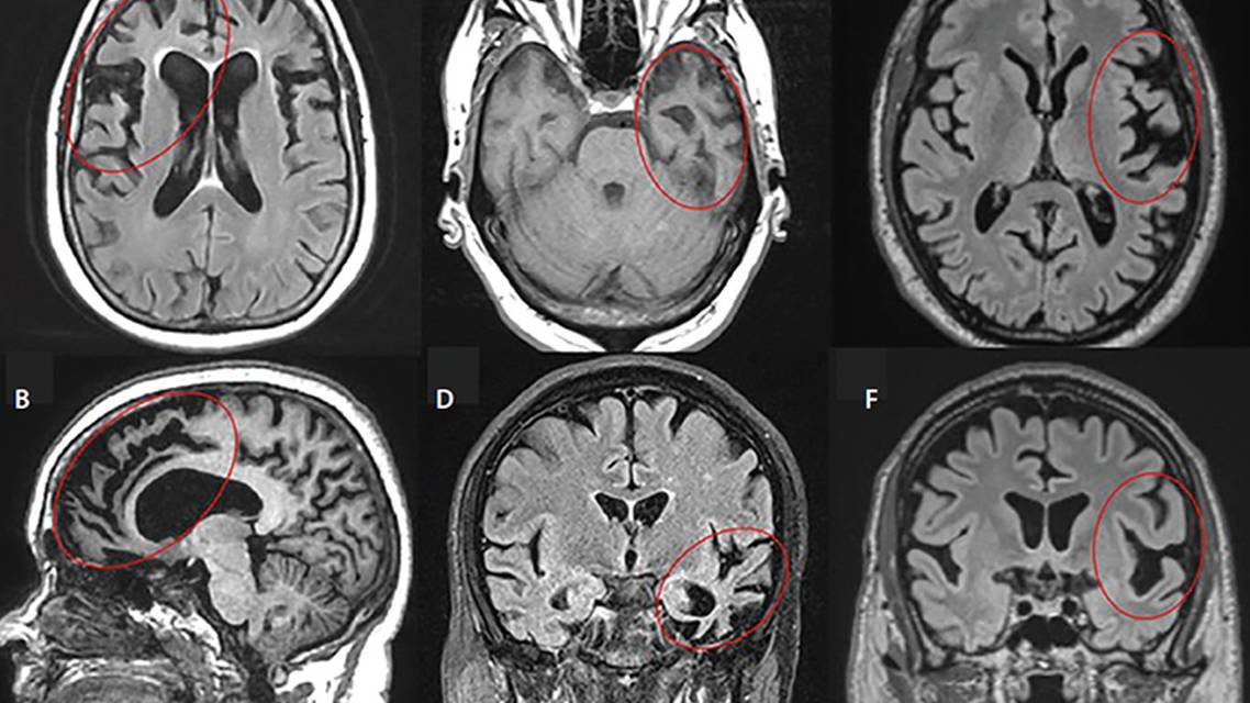
Characteristic patterns of atrophy involve the right frontal or right temporal lobes, although atrophy may be difficult to detect early in the disease course, and can overlap with normal controls.13 Bilateral frontal lobe involvement, when present, is associated with nonfluent aphasia (Figure). Genetic FTD is associated with characteristic patterns of atrophy. With C9ORF72 expanded repeats, atrophy in the frontal lobes predominates, and milder atrophy is seen in the anterior temporal, parietal, and occipital lobes, cerebellum and thalamus. With MAPT mutations, anteromedial temporal atrophy predominates. With GRN mutations, there is asymmetric temporal, insular, and parietal lobe atrophy.14,15 Although white matter is typically bland on T2-weighted MRI, imaging in late stage FTD and patients with GRN mutations may show extensive white matter hyperintensities.16 On fluorodeoxyglucose-positron emission tomography (FDG-PET) and single photon emission tomography (SPECT), bvFTD demonstrates hypometabolism or hypoperfusion in the bilateral frontal lobes, or the right temporal lobe, distinguishing it from AD with diagnostic accuracy of 80% for SPECT and 90% for FDG-PET (Figure).17-19

Semantic Variant Primary Progressive Aphasia
In svPPA, also called semantic dementia, (Table 1)20 dominant anterior temporal lobe atrophy results in loss of word meaning and people with svPPA may ask what words mean in conversation. Fluency and grammar are frequently preserved, and people with svPPA may become hyperverbal or lose reciprocity in conversation. As disease progresses, speech becomes increasingly empty, with apothegms, filler words, or vague references (eg, “thingy” or “whatsit”). De novo visual creativity has also been reported in numerous cases of svPPA, possibly due to heightened function or structural changes in the nondominant hemisphere.21

Behavioral disturbance similar to bvFTD is often seen due to spread to the right anterior temporal lobe.22,23 Individuals with a bvFTD-like presentation with preserved language due to isolated right-sided temporal atrophy usually develop semantic aphasia. In svPPA visual agnosias emerge with disease spread to posterior temporal structures (ie, for objects) and nondominant temporal pole (ie, emotion recognition, person-specific knowledge).
Neuropsychologic Testing
Inability to define single words when asked (eg, “what is spaghetti?”) is characteristic. Loss of word meaning may lead to surface dyslexia (eg, pronouncing pint like mint). There is impairment on tests of semantic associations for words as well as visual semantic associations over time (eg, Palms and Pyramids task). Word production rate during picture descriptions (eg, the picnic scene from the Western Aphasia Battery) is normal or near-normal, but descriptions are vague. Patients with svPPA may demonstrate poor episodic memory opposite to that observed in AD (ie, poor recall of remote autobiographical details with spared recent memory).24
Neurologic Examination
Speech that is empty, loquacious, tangential, or repetitive is observed during assessment. The remainder of the neurologic examination is normal, and frontal release is typically absent.
Neuroimaging
Characteristic asymmetric atrophy of the dominant anterior temporal pole is observed in svPPA (Figure).25 Over time, the contralateral temporal lobe is also affected.
Nonfluent Agrammatic Variant Primary Progressive Aphasia
Individuals with nfaPPA demonstrate progressive nonfluent halting speech with grammatical errors such as dropping of function words (eg, is, or, and the) and errors in verb conjugation. Apraxia of speech (AOS), defined as impaired motor speech planning and articulation deficits with groping speech, despite intact bulbar motor functions, may be present or develop.26 People with nfaPPA often develop mutism.
Neuropsychologic Testing
Although in early stages of nfaPPA comprehension is typically preserved, there may be difficulty understanding complex sentences with passive voice and noncanonical argument order (eg, asking someone to choose, from 4 similar cartoons, the 1 image where “the boy who is chased by the girl is red” with color and gender of the persons chasing and being chased varying among the 4 cartoons). Repetition is typically better than spontaneous speech, although grammatical and paraphasic errors may be seen. Articulation errors may emerge when someone is asked to repeat words like “artillery” if there is a component of AOS.
Neurologic Examination
Although deficits may be mild at first, patients with nfaPPA have slow speech with word-finding pauses or stuttering, circumlocutions, phonemic paraphasic errors, and agrammatism with relative preservation of comprehension. Subtle right-sided motor symptoms may be present (ie, slowed fine finger movements or limb drift) with pathologic spread throughout the dominant hemisphere. Patients may also demonstrate or develop clinical features of underlying pathologic processes including bvFTD, corticobasal degeneration (CBD) or PSP.27
Neuroimaging
Asymmetric atrophy affecting the dominant inferior frontal lobe is the hallmark finding in PPA (Figure).28
Motor Syndromes in Frontotemporal Dementia
Approximately 30% of people who meet diagnostic criteria for amyotrophic lateral sclerosis (ALS) have symptoms of FTD, most commonly features of bvFTD or nfaPPA. In 50% of people with ALS, milder executive and verbal fluency deficits are seen.29 Psychotic features are more common in those with FTD-ALS, particularly in the most common cause of genetic FTD-ALS, C9ORF72 expanded repeat mutations.30,31 Initially presenting with progressive behavior changes or nonfluent/apraxic language impairment in 20% of patients,32 PSP is the most common neuropathological substrate underlying AOS,33 and 30% of patients with PSP meet diagnostic criteria for bvFTD.34 Similarly, CBS emerges from variable pathologies including CBD, AD, and FTLD. Patients ultimately diagnosed with CBD, frequently present with bvFTD and nfaPPA.35
Prognostic Counseling
Average survival range for those diagnosed with FTD is 7 to 10 years. Approximated average survival times by subtype are 2 to 3 years for FTD-MND, 9 to 10 years for bvFTD or nfaPPA, and 12 years for svPPA.2 Common proximate causes of death related to FTD include pneumonia or complications of falls.
Risk Factors
Environment
Few studies have investigated environmental risk factors for FTD. A history of head injury was more common in patients with FTD (odds ratios of 3 to 4) in retrospective case-control studies.35,36 Repetitive concussions have been linked to progressive frontal-executive dysfunction, neuropsychiatric symptoms, and frontotemporal tau deposition in chronic traumatic encephalopathy (CTE).37 Whether isolated concussion or mild head injury contributes to risk of developing FTLD or CTE is not yet understood, however.
Genetics
There is an autosomal dominant pattern of inheritance in 40% of people with FTD.38 It is essential to take a careful family history considering features of FTD because FTD was often misdiagnosed as AD, vascular dementia, or late-onset psychiatric disorders prior to the 1990s. In genetic FTD, bvFTD, nfaPPA, and less commonly, CBS variants are typical. In contrast, svPPA and PSP are almost always sporadic. There are 8 genetic mutations accounting for approximately 50% of familial FTD. Of these, mutations in in GRN, C9ORF72, and MAPT are most common.39 Other rare causative genetic mutations in CHMP2B or VCP are associated with inclusion body myopathy, Paget disease, and FTD (IBMPFTD), and CSF1-R mutations are associated with familial FTD, epilepsy and white matter abnormalities on MRI (due to axonal leukodystrophy ALSP).40 Variants in TMEM106B appear to be protective via delayed onset of C9ORF72- and GRN-associated FTLD.41
Neuropathology of Frontotemporal Dementia
Pathologic tau or TDP-43 aggregations account for most cases of FTLD, with FUS inclusions in most of the remaining 10%.42 Tau aggregations can be found in people with bvFTD, nfaPPA, and MAPT-associated FTD, but are rare in those with svPPA. Notably, the term Pick’s disease now refers exclusively to the neuropathologic finding of spherical tau inclusions (Pick bodies) most often associated with bvFTD, and also variable features of CBS and aphasic syndromes.43 Characteristic patterns of tau and TDP-43 aggregates underlie FTD syndromes and some genetic mutations on histopathology.44 FUS pathology is associated with an earlier age of onset with faster progression and prominent neuropsychiatric features.42 Large bipolar von Economo neurons in layer V in the anterior cingulate and frontal-insular cortex of hominids and other large social mammals are hypothesized to be the first cells lost to FTLD.45
Diagnostic Approach
Patient insight is often limited, and so taking a history from a reliable informant who knows the patient well is essential. Standardized questionnaires may be used, such as the Frontal Behavioral Inventory.46 A comprehensive neurological examination should include assessment of vertical saccades, cortical sensation, praxis, primitive reflexes, and the presence of axial and appendicular parkinsonism. Brain imaging with CT or preferably MRI is essential to rule out alternative structural or vascular causes and to assess for characteristic patterns of atrophy, although detection of atrophy may be challenging, even for neuroradiologists. If inconclusive, FDG-PET or SPECT imaging may demonstrate a pattern of frontotemporal hypometabolism; however, routine use of SPECT in the diagnosis of FTD is not recommended.47 Where available, amyloid ligands, or CSF AΒ42 and tau analysis can distinguish AD from FTD, with CSF markers having a sensitivity and specificity of 80%.48 There are no validated biomarkers that reliably distinguish FTD from controls or other nonAD dementias; however, candidate CSF biomarkers are currently under investigation, including neurofilament light chain and dipeptide repeat proteins. Serum progranulin differentiates symptomatic pre-symptomatic GRN mutations from healthy controls, but is only weakly correlated with CSF progranulin.49 Of people with sporadic FTD, 6% have genetic mutations. Confirming a diagnosis of familial FTD may be key for determining eligibility for available clinical trials. All interested patients, especially those with a family history of FTD, atypical parkinsonism, or MND, should be referred for genetic counseling.
Disease Management
Supportive Care and Follow Up
Supportive care is the mainstay of treatment for FTD. Power of attorney for health care and finances and limiting patient access to savings is essential to mitigate risk related to impaired judgement, insight, and impulsive spending. Inattention, impulsivity, and poor emotion regulation may increase risk of car accidents, even with mild disease. When considering driving privileges, careful and frequent reassessment of behavior and cognition are necessary and may be supplemented by on-road driving evaluations. Caregivers should be counselled regarding gun safety (particularly in regions where gun ownership is common) and other hazardous hobbies. Speech and swallowing assessments are important to optimize communication and treat dysphagia, particularly for those with nfaPPA and PSP. Physical therapy or occupational therapy evaluations should be sought for falls and balance problems and home safety. The majority of caregivers will benefit from referral to local FTD or dementia support groups, and other resources to manage problematic behaviours such as behavior change charts.50
Pharmacologic Management
Pharmacologic management of difficult behaviours is limited to off-label use of neurotransmitter modulators, including selective serotonin reuptake inhibitors (SSRIs) or trazadone for disinhibition, agitation, or compulsive/perseverative behaviors (Table 2). When severe or potentially harmful, psychosis or aggression may require neuroleptic medications, although evidence from randomized clinical trials is lacking. Because of reports of increased mortality, initiation at a low dose with frequent reassessment of efficacy necessity is required. Although parkinsonism due to FTLD is frequently not dopamine-responsive, a few individuals may find benefit with a trial of carbidopa/levodopa for parkinsonism. Agitation in people with bvFTD may be worsened by cholinesterase inhibitors, and a double-blinded placebo-controlled trial of memantine showed no benefit.51 A 2- to 3-month trial of a cholinesterase inhibitor may be warranted for people with CBS or nfaPPA with memory deficits, however, because up to 40% of these individuals have underlying AD pathology. There are no effective therapies for deficits of social cognition in FTD yet; although, a phase 2 clinical triala of oxytocin for diminished empathy and social apathy is under way.

Although no disease-modifying therapies are yet approved for FTD, promising results are emerging from rodent models including gene therapy (targeting C9ORF72,52 and TMEM106B53) and replenishing progranulin deficiency.54 Ongoing phase 2 clinical trials include gene therapy targeting of MAPT in AD,b and monoclonal antibodies targeting tau in PSPc and other primary tauopathies.d Clinical trials targeting gene expression, and related proteins pathways for tau, progranulin, and C9ORF72 in FTD are anticipated in the near future.
Conclusions
Recognition of FTD syndromes depends on thorough assessment and compilation of patient and caregiver history, neuropsychologic and clinical findings, neuroimaging patterns, and appropriate use of ancillary testing. Given the high incidence of hereditary FTD and anticipated clinical trials for genetic FTD on the horizon, referral for genetic counselling is warranted for most patients. With molecular-specific diagnostic tools and symptomatic and disease-modifying treatments under development, early detection and accurate diagnosis of FTD subtypes has never been more important.
Ready to Claim Your Credits?
You have attempts to pass this post-test. Take your time and review carefully before submitting.
Good luck!
Recommended
- Imaging & Testing
Neuroimaging: Clinical Impact of Imaging Findings
Laszlo Mechtler, MD, FAAN, FEAN, FASN, FAHSLaszlo Mechtler, MD, FAAN, FEAN, FASN, FAHS - Imaging & Testing
Practical MRI in Neurology: Use Cases, Technologies, and Opportunities for Outpatient Clinics
Joseph Fritz, PhD; Edmond A. Knopp, MD, DABR, FASFNRJoseph Fritz, PhD; Edmond A. Knopp, MD, DABR, FASFNR - Alzheimer Disease & Dementias
Brain Health Navigators: Optimizing the Alzheimer Disease Care Pathway Through Boundary-Spanning Roles
Katherine J. Selzler, PhD; Ashley Hayden, MBA, HMKatherine J. Selzler, PhD; Ashley Hayden, MBA, HM






