Movement Disorders Moment: Asleep Deep Brain
Stimulation
Development of Brain Imaging and Deep Brain Stimulation Coincide
Imaging is integral to all neurosurgical procedures, including deep brain stimulation (DBS), and imaging and DBS have been developed and evolved over the same timeframe. When neuro-surgical procedures were first being used for treatment of Parkinson’s disease (PD) in the 1950s, the only available brain imaging was with x-rays. Because the targets of neurosurgery, the subthalamic nucleus (STN) the globus pallidus inferior (GPi), or the thalamus in the basal ganglia, could not be seen on x-ray, neurosurgeons used atlases and imaging landmarks around the basal ganglia to determine where to lesion. When levodopa was developed, neurosurgery for movement disorders waned. In the late 1970s and the 1980s, DBS began at about the same time that CT and MRI were becoming available. By the late 1980s through the early 2000s, high-frequency brain stimulation was found effective for treating essential tremor and then PD. In the same years, CT and MRI came into routine clinical practice but still did not allow detailed enough visualization of basal ganglia targets. Thus, atlases, indirect imaging, and stereotactic frames were still used for targeting. More importantly, there was no readily available way to visualize an electrode in the brain at the time of implantation. Under these conditions, neurosurgery for DBS implantation had to be in awake patients with microelectrode recordings (MERs) as a surrogate for localizing appropriate brain structures.
Microelectrode Recording Verification
Using MERs, different brain regions produce different patterns of sound. As we advance the electrode through brain structures, we listen for the sound of “raindrops on a tin roof” to tell us we have reached the STN. The flaw in this technique is that the recording is only a surrogate for location and can mislead us from selecting the optimal target. Using intraoperative imaging, it has been shown that where the recording electrode may actually be is, on average, 1 mm away from the presumed position,1 again, making it a misleading guide. Furthermore, implantation does not necessarily occur at the site of the recording microelectrode. It has actually been demonstrated that the best MER activity does not necessarily correlate with the locus that would have the most beneficial clinical effect.2 This, in part, explains the high revision rates for DBS lead placement—15.3%, of which 48% is estimated to be because of improper lead placement.3 Considering that electrode placement is the greatest predictor of good outcomes,4,5 this is a significant issue for delivery of high-quality care.
Image-Verification
Although image-guided image-verified DBS has been termed asleep DBS, the patient may be asleep or awake. The key is using imaging with specifically programmed MRI parameters to guide electrode placement. This can be challenging because it means the neurosurgeon must be responsible for neuroimaging during the procedure, requiring acquisition of new skills.
Optimizing Imaging for Image Verification
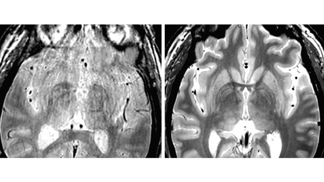
Both brain anatomy and neuroimaging quality are variable, and in order to see exactly where to go in a particular individual’s brain, neuroimaging must be optimized. In our practice, neuroimaging for DBS used to appear as in the Figure; whereas now, after optimization, we see much clearer images, as on the right. To make the change, we had to work with our radiologists and MR physicists to optimize the imaging parameters. Because people being treated for movement disorders can’t help but move in the MRI machine, preventing high-quality image acquisition, we also routinely obtain presurgical imaging with patients under general anesthesia.

Intraoperative Imaging Verification
Ideally, presurgical imaging is done with stereotactic intraoperative MRI with appropriate sequences that allow visualization of anatomy and electrodes and, if needed, immediate lead relocation during a single operative procedure. Stereotactic intraoperative MRI can be cost-prohibitive; however, it is possible to use stereotactic CT. Although CT imaging does not provide visualization of specific brain structures intraoperatively, stereotactic accuracy can be calculated, allowing lead re-location in a single surgery. Image verification with postsurgical nonstereotactic imaging is better than no image verification but does not allow lead relocation without a second surgery.
Brain shift and pneumocephalus also cause image distortion that can lead to inaccurate lead placement.6,7 Postoperatively, as brain shift resolves, electrodes can also move.8 Intraoperative imaging allows for more precise targeting and thus, a smaller diameter burr hole (3.2 mm vs 14 mm), which reduces brain shift and pneumocephalus.
Technique
We use a Leksell frame and stereotactic robot with intraoperative CT to plan and implement electrode implantation trajectories. Preoperative MRI is matched with intraoperative CT using the Leksell frame. Using a 3.2-mm diameter burr hole, we use dynamic impedance to differentiate gray matter from white matter (analogous to MER but on a larger scale and with a blunt rather than sharp probe, reducing risk of hemorrhage; see Complications). The electrode is then placed, and although there is some deviation between where the electrode appears to be and where it actually is, postoperative imaging shows less mismatch than with awake DBS. Knowing where the electrode is postsurgically is also helpful for guiding DBS programming.
Outcomes
A meta-analysis of 8 studies including 220 people who had asleep DBS and were followed for 6 to 12 months showed a 40.2% to 65% improvement in Unified Parkinson’s Disease Rating Scale III (UPDRS-III) scores and a 14% to 49.3% reduction in levodopa equivalent doses (LEDD).9-11 Another study comparing awake (n = 23) with asleep (n = 14) DBS found statistically similar outcomes after 6 months.12 In long-term follow up (5-8 years), 53 people who had asleep DBS showed continued improvement in UPDRS scores related to tremor, bradykinesisa, and dyskinesia.5 More recently, direct comparison demonstrated improved ON time without dyskinesias and fewer speech side effects for alseep vs awake DBS.13
Complications
As with any surgery, the risks include bleeding. Overall hemorrhage risk for functional stereotactic procedures is 5.9% total, 2.3% symptomatic, and 1.2% with permanent deficits. In contrast, in a series of 214 people who had asleep DBS, the overall rate of hemorrhage is 0.9% total, 0.7% symptomatic, and 0% with permanent deficits.14
Conclusions
Improved imaging quality and intraoperative imaging allow image guided-image-verified DBS under general anesthesia. Imaging must be optimized, and if intraoperative MRI is not available, an intraoperative CT can be used. Decreased burr hole size decreases pneumocephalus and brain shift, improving accuracy and decreasing complications. Asleep DBS provides outcomes at least equal to awake DBS with more safety and comfort for patients with decreased surgical time and cost. It must be noted, asleep DBS is not a shortcut; it requires a meticulous approach, optimized imaging, and careful auditing of results to be successful.
Ready to Claim Your Credits?
You have attempts to pass this post-test. Take your time and review carefully before submitting.
Good luck!
Recommended
- Movement Disorders
Diagnosis and Management of Dementia and Psychosis in Individuals With Parkinson Disease
Jorge Patino, MDJorge Patino, MD - Movement Disorders
Diagnosis and Management of Dementia and Psychosis in Individuals With Parkinson Disease
Jorge Patino, MD; Abhimanyu Mahajan, MD, MHS, FAANJorge Patino, MD; Abhimanyu Mahajan, MD, MHS, FAAN






