An Unusual Presentation of Syncope in a Patient With a Giant Cervical Carotid Aneurysm




Extracranial carotid aneurysms are rare and potentially fatal. The clinical presentation is often nonspecific and variable. We report an unusual case of syncope in a woman with a large right internal carotid aneurysm.
Case Report
A 76-year-old woman with a history of hypertension and hyperlipidemia was admitted to our hospital after witnessed syncope. The syncope was preceded by the sensation of the room getting darker, muscle twitching of the head and upper extremities, and a left facial droop. There was no associated tongue biting, convulsions, or urinary/bowel incontinence. Within a minute, she became responsive with no postictal state. She reported experiencing two similar syncopal episodes in the distant past, roughly within the last 10 years, and never during childhood. She had no history of seizures, infection, autoimmune disease, or connective tissue diseases. She had a history of blunt head and neck trauma during a car crash 20 years prior to presentation and no surgical history. Her family history was negative for cardiovascular, neurologic, or rheumatologic diseases. Her vital signs on admission were stable (blood pressure 110/70; heart rate 68; respiratory rate 14; temperature 97.6 F; O2 96% on room air). Her neurologic and physical examination was unremarkable except for a right-sided carotid bruit. No orthostatic hypotension was present.
Serum bloodwork revealed no abnormalities on the patient’s comprehensive metabolic panel, complete blood count, or erythrocyte sedimentation rate. She was admitted to telemetry with an electrocardiogram revealing normal sinus rhythm, right bundle branch block, and left anterior fascicular block with a normal PR interval. An echocardiogram revealed a normal ejection fraction and no significant valvular disease and was unrevealing as to an etiology of syncope. Given the witnessed muscle twitching, a 24-hour EEG was obtained, which did not reveal an epileptic focus.
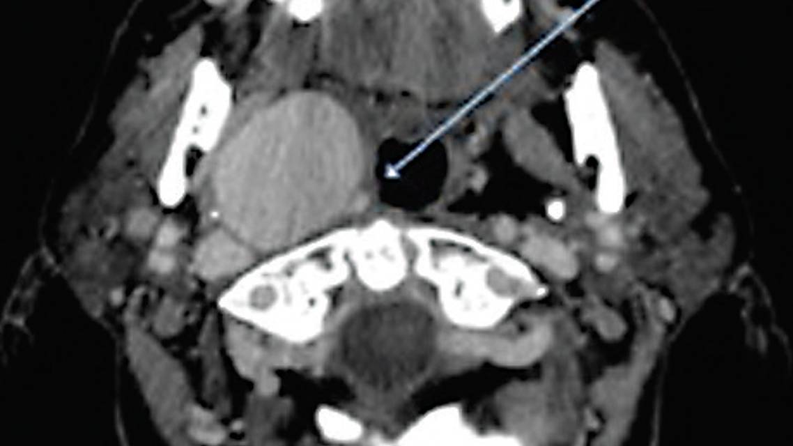
Carotid duplex imaging and a brain CT without contrast incidentally revealed a mass lesion over the right carotid space. Further characterization with contrast-enhanced cervical CT demonstrated a giant aneurysm arising from the proximal right internal carotid artery (ICA) just past its origin (Figure 1). Arising from the aneurysm superiorly and medially was the continuation of the upper cervical right ICA, which was thinned in caliber due to compression by the aneurysm within the carotid space. There were no other aneurysms observed elsewhere in the neck or brain.
Due to the size and complexity of the aneurysm, neuro-surgery and neuroendovascular services were consulted. Diagnostic angiography was pursued, which confirmed the presence of a large (> 5 cm) extracranial aneurysm of the right ICA at the skull base emanating from a tortuous extracranial ICA with a small collateral ophthalmic artery from the external carotid artery to the ICA (Figure 2). Substantial contrast delay was seen within the aneurysm with runoff into the distal right ICA noted. No thrombus was evident. Further characterization of the aneurysm was pursued with temporary balloon occlusion of the right carotid artery and subsequent single-photon emission CT scan of the brain postprocedure. Findings indicated decreased perfusion to the right frontal lobe and a portion of the inferior right temporal lobe after balloon occlusion of the right common carotid artery (Figure 3). Perfusion to the remainder of the brain was normal, and the patient remained neurologically stable throughout the procedure with no clinical deficits observed.
Considering the size of the aneurysm, endoscopic intervention was offered; however, the patient deferred any intervention. At 6-month follow up, she was symptom-free and a plan for conservative management, including antiplatelet therapy and observation, is actively being pursued.
Discussion
We describe a case of spontaneous recurrent syncope in a patient incidentally found with a large (>5 cm) extracranial aneurysm of the right ICA. Due to the size of the aneurysm, its compression in the carotid space, and single-photon emission CT imaging demonstrating carotid occlusion, it was considered as a possible cause of her syncope.
Extracranial carotid artery aneurysms are extremely rare and account for 0.4% to 1% of all arterial aneurysms.1,2 Associated risk factors for their development include atherosclerosis, trauma, fibrodysplasia, connective tissue disorders, arthritides, or congenital defects, such as Marfan syndrome.2,3 Our patient’s history of head and neck trauma, hyperlipidemia, and hypertension suggest these were the primary risk factors in her case.
Most cervical aneurysms are asymptomatic. If symptomatic, the manifestations are often nonspecific and related to either mass effect from aneurysmal dilation or unilateral hypoperfusion and/or ischemia from embolism, occlusive thrombus, or, rarely, dissection or rupture.3,4 Patients commonly present with a transient ischemic attack or stroke-like symptoms, headache, facial pain, neurologic dysfunction such as dysphagia or Horner syndrome, a pulsatile neck mass, or signs of infection.3-5 Our patient presented with infrequent episodes of syncope, associated with signs of dysautonomia, including facial droop, cool and clammy skin, nausea, and vomiting, which may suggest vagal activation and/or sympathetic inhibition. The initial syncope workup was unrevealing in this patient, suggesting that a vasovagal reflex was a strong possibility. However, although the etiology of cerebral-induced syncope requires bilateral hemispheric dysfunction and/or brainstem pathology, it is plausible that elevated pressure induced by the aneurysm and sensed within the carotid sinus resulted in baroreflex activation and subsequent decreased blood flow and syncope. Another theory is possible aneurysmal irritation of neural fibers entering the carotid canal. One case report described a patient with recurrent pharyngeal pain and occasional syncope associated with an extracranial aneurysm along the distal cervical portion of the left ICA.6 The proposed mechanism involved the aneurysmal activation of the glossopharyngeal afferent neural pain fibers with ensuing vagal stimulation through the carotid sinus nerve medium and resultant bradycardia and syncope, echoing the underlying mechanism of glossopharyngeal neuralgia associated with cardiac syncope.6,7 Despite these theories, further investigation is necessary before the patient’s syncope can be attributed to this aneurysm.
There are numerous surgical and endovascular treatments available, with decisions to intervene based on a multitude of factors, including associated symptoms, lesion diameter, lesion location, presence or absence of an intraluminal thrombus, rate of expansion, and patient’s age and comorbidities.2,8 If conservative management is pursued, antiplatelet or anticoagulant therapy may be administered to attenuate the risk of thromboembolism combined with serial imaging.9,10 Although endovascular intervention was offered, our patient ultimately opted for a conservative approach. and will continue to be monitored.
1. Welling RE, Taha A, Goel T, et al. Extracranial carotid artery aneurysms. Surgery. 1983;93:319-323.
2. Rosset E, Albertini JN, Magnan PE, et al. Surgical treatment of extracranial internal carotid artery aneurysms. J Vasc Surg. 2000;31:713-723.
3. Laissaoui Y, Noureddine El Alami M. Aneurysm of the internal carotid artery after minor trauma. Ann Vasc Surg. 2014;28:260.e5-260.e7.
4. Davidovic L, Kostic D, Maksimovic Z, et al. Carotid artery aneurysms. Vascular. 2004;12:166-170.
5. Radak D, Davidovic L, Vukobratov V, et al. Carotid artery aneurysms: Serbian multicentric study. Ann Vasc Surg. 2007;21:23-29.
6. Lim YM, Lee SA, Kim DK, Kim GE. Aneurysm of the extracranial internal carotid artery presenting as the syndrome of glossopharyngeal pain and syncope. J Neurol Neurosurg Psychiatry. 2002;73:87-88.
7. den Hartog AW, Jansen E, Kal JE, et al. Recurrent syncope due to glossopharyngeal neuralgia. Heart Rhythm Case Rep. 2016;3:73-77.
8. Zhou W, Lin PH, Bush RL, et al. Carotid artery aneurysm: evolution of management over two decades. J Vasc Surg. 2006;43:493-496.
9. Welleweerd JC, den Ruijter HM, Nelissen BG, et al. Management of extracranial carotid artery aneurysm. Eur J Vasc Endovasc Surg. 2015:50:141-147.
10. Fankhauser GT, Stone WM, Fowl RJ, et al. Surgical and medical management of extracranial carotid artery aneurysms. J Vasc Surg. 2015;61:389-393.
Michael Alston, MD
Resident Physician, Internal Medicine
Lenox Hill Hospital
New York, NY
Craig Basman, MD
Fellow Physician, Cardiology
Lenox Hill Hospital
New York, NY
Steven Mandel, MD
Clinical Professor of Neurology
Lenox Hill Hospital
Hofstra Northwell School of Medicine
Hempstead, NY
Atul Kukar, DO
Attending Physician, Cardiology
Lenox Hill Hospital
New York, NY
Ready to Claim Your Credits?
You have attempts to pass this post-test. Take your time and review carefully before submitting.
Good luck!
Recommended
- Imaging & Testing
Neuroimaging: Clinical Impact of Imaging Findings
Laszlo Mechtler, MD, FAAN, FEAN, FASN, FAHSLaszlo Mechtler, MD, FAAN, FEAN, FASN, FAHS - Stroke
Blood Pressure Targets After Stroke: How Low Is Too Low?
Hatem Tolba, MD; Filza Sikandar, MBBSHatem Tolba, MD; Filza Sikandar, MBBS









